You have no items in your shopping cart.
HSD11B1 Rabbit Polyclonal Antibody
Description
Research Area
Images & Validation
−| Tested Applications | IHC, WB |
|---|---|
| Reactivity | Human, Rat |
| Predicted Reactivity | Bovine, Canine, Equine, Guinea pig, Mouse, Rabbit, Sheep |
Key Properties
−| Host | Rabbit |
|---|---|
| Clonality | Polyclonal |
| Immunogen | The immunogen is a synthetic peptide directed towards the N terminal region of human HSD11B1 |
| Target | HSD11B1 |
| Protein Sequence | Synthetic peptide located within the following region: QKVVSHCLELGAASAHYIAGTMEDMTFAEQFVAQAGKLMGGLDMLILNHI |
| Molecular Weight | 32kDa |
| Purification | Affinity Purified |
| Conjugation | Unconjugated |
Storage & Handling
−| Storage | Maintain refrigerated at 2-8°C for up to 2 weeks. For long term storage store at -20°C in small aliquots to prevent freeze-thaw cycles. |
|---|---|
| Buffer/Preservatives | Liquid. Purified antibody supplied in 1x PBS buffer with 0.09% (w/v) sodium azide and 2% sucrose. |
| Concentration | 0.5 mg/ml |
| Expiration Date | 12 months from date of receipt. |
| Disclaimer | For research use only |
Alternative Names
−Similar Products
−11β-HSD1 rabbit pAb Antibody [orb767165]
ELISA, IF, IHC, WB
Human, Mouse, Rat
Polyclonal
Unconjugated
100 μl, 50 μlHSD11B1 Antibody [orb675272]
ELISA, IHC, WB
Human, Mouse, Rat
Rabbit
Polyclonal
Unconjugated
100 μg, 50 μghydroxysteroid 11-beta dehydrogenase 1 Antibody [orb556184]
ICC, IHC-Fr, IHC-P, WB
Human, Sheep
Rabbit
Polyclonal
Unconjugated
HSD11B1 Rabbit Polyclonal Antibody [orb137851]
IHC, WB
Human, Monkey, Mouse, Rat
Rabbit
Polyclonal
Unconjugated
100 μg

Quality Guarantee
Explore bioreagents carefree to elevate your research. All our products are rigorously tested for performance. If a product does not perform as described on its datasheet, our scientific support team will provide expert troubleshooting, a prompt replacement, or a refund. For full details, please see our Terms & Conditions and Buying Guide. Contact us at support@biorbyt.com.

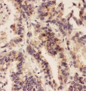
Sample Tissue: Rodent Rat Testis, Antibody dilution: 2 ug/ml.

Positive control (+): Human Placenta (PL), Negative control (-): Human cerebral cortex, Antibody concentration: 1 ug/ml.

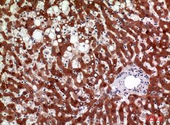
Sample Tissue: Rat Liver, Antibody dilution: 1 ug/ml.

Immunohistochemistry with Human Liver cell lysate tissue at an antibody concentration of 5.0 ug/ml using anti-HSD11B1 antibody (orb579552).

Surface Plasmon Resonance Kinetic Characterization of Polyclonal Antibody Affinity. Purified polyclonal antibodies were immobilized on a Protein A/G coated Carterra LSA sensor chip (PAGH200M) at concentrations of 0.5, 5, and 50 ug/ml. Antibodies on the surface were exposed to interaction with peptides sequentially via microfluidic controlled flow at 333nM peptide concentration for kinetic characterization of the binders for affinity and specificity, followed by curve fitting using the Kinetics software. Kd determinations for either two or three concentrations were averaged and results and standard deviation are shown.

WB Suggested Anti-HSD11B1 Antibody Titration: 1 ug/ml, Positive Control: Fetal liver cell lysate.

WB Suggested Anti-HSD11B1 Antibody Titration: 2 ug/ml, Positive Control: Transient overexpression lysate of HSD11B1 and Non-overexpressed vector control lysate.
Documents Download
Request a Document
Protocol Information
HSD11B1 Rabbit Polyclonal Antibody (orb579552)
Participating in our Biorbyt product reviews program enables you to support fellow scientists by sharing your firsthand experience with our products.
Login to Submit a Review











