You have no items in your shopping cart.
HSP27 Mouse mAb Antibody
SKU: orb763521
Description
Images & Validation
−Item 1 of 2
| Tested Applications | IHC, WB |
|---|---|
| Dilution Range | WB 1:1,000-2,000 IHC 1:100-200 |
| Reactivity | Human |
Key Properties
−| Clonality | Monoclonal |
|---|---|
| Isotype | IgG1 |
| Immunogen | Recombinant Protein |
| Molecular Weight | 27kDa |
| Conjugation | Unconjugated |
Storage & Handling
−| Storage | Maintain refrigerated at 2-8°C for up to 2 weeks. For long term storage store at -20°C in small aliquots to prevent freeze-thaw cycles. |
|---|---|
| Buffer/Preservatives | PBS with 0.02% sodium azide and 50% glycerol pH 7.4. Store at -20°C. Avoid repeated freeze-thaw cycles. |
| Concentration | 1mg/mL |
| Expiration Date | 12 months from date of receipt. |
| Disclaimer | For research use only |
Alternative Names
−Anti-Heat shock protein 27 antibody, anti-CMT2F antibody, anti-HSP B1 antibody, anti-HSP28 antibody, anti-SRP27 antibody, anti-Stress responsive protein 27 antibody
Similar Products
−
Quality Guarantee
Explore bioreagents carefree to elevate your research. All our products are rigorously tested for performance. If a product does not perform as described on its datasheet, our scientific support team will provide expert troubleshooting, a prompt replacement, or a refund. For full details, please see our Terms & Conditions and Buying Guide. Contact us at support@biorbyt.com.

Western blot analysis of Hela with HSP27 Mouse mAb orb763521 diluted at 1:2, 000.

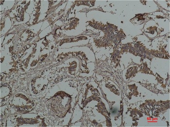
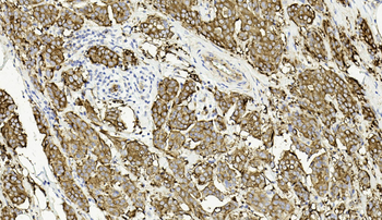
Immunohistochemical analysis of paraffin-embedded Human Breast Caricnoma using HSP27 (orb763521) Mouse mAb diluted at 1:200.
Documents Download
Datasheet
Product Information
Request a Document
Protocol Information
WB
Western Blot (IB, immunoblot)
IHC
Immunohistochemistry
HSP27 Mouse mAb Antibody (orb763521)
Based on 0 reviews
Participating in our Biorbyt product reviews program enables you to support fellow scientists by sharing your firsthand experience with our products.
Login to Submit a Review
