You have no items in your shopping cart.
HSP90AB1 Antibody
Description
Research Area
Images & Validation
−| Tested Applications | IF, IHC, WB |
|---|---|
| Reactivity | Human, Mouse, Rat |
| Application Notes |
Key Properties
−| Antibody Type | Primary Antibody |
|---|---|
| Host | Rabbit |
| Clonality | Polyclonal |
| Immunogen | HSP90B (Ab-254) antibody was raised against a peptide sequence around aa. 252~256 (V-G-S-D-E) derived from Human HSP90B. |
| Target | HSP90AB1 |
| Molecular Weight | 92 kDa |
| Purification | Antibodies were purified by affinity-chromatography using epitope-specific peptide. |
| Conjugation | Unconjugated |
Storage & Handling
−| Storage | Maintain refrigerated at 2-8°C for up to 2 weeks. For long term storage store at -20°C in small aliquots to prevent freeze-thaw cycles. |
|---|---|
| Form/Appearance | Liquid |
| Buffer/Preservatives | Antibody supplied in phosphate buffered saline (without Mg2+ and Ca2+), pH 7.4, 150mM NaCl, 0.02% sodium azide and 50% glycerol. |
| Concentration | 1 mg/mL |
| Expiration Date | 12 months from date of receipt. |
| Disclaimer | For research use only |
Alternative Names
−Similar Products
−Hsp90 beta/HSP90AB1 Rabbit Polyclonal Antibody [orb315144]
ICC, IF, IHC, WB
Human, Mouse, Rat
Rabbit
Polyclonal
Unconjugated
100 μgHSP90AB1 Antibody [orb2309966]
FC, IF, IHC, WB
Bovine, Canine, Equine, Feline, Gallus, Human, Mouse, Rabbit, Rat
Mouse
Monoclonal
Unconjugated
100 μg, 20 μg, 100 μg (without BSA and Azide)HSP90 Antibody (APC) [orb146802]
AM, ELISA, ICC, IF, IHC, IP, WB
Canine, Fish, Gallus, Hamster, Human, Mouse, Rabbit, Rat
Mouse
Monoclonal
APC
200 μgHSP90 Antibody (Biotin) [orb146803]
AM, ELISA, ICC, IF, IHC, IP, WB
Canine, Fish, Gallus, Hamster, Human, Mouse, Rabbit, Rat
Mouse
Monoclonal
Biotin
200 μgHSP90 Antibody (FITC) [orb146804]
AM, ELISA, ICC, IF, IHC, IP, WB
Canine, Fish, Gallus, Hamster, Human, Mouse, Rabbit, Rat
Mouse
Monoclonal
FITC
200 μg

Quality Guarantee
Explore bioreagents carefree to elevate your research. All our products are rigorously tested for performance. If a product does not perform as described on its datasheet, our scientific support team will provide expert troubleshooting, a prompt replacement, or a refund. For full details, please see our Terms & Conditions and Buying Guide. Contact us at support@biorbyt.com.

Western blot analysis of lysed extracts from HeLa and A2780 cells using HSP90B.

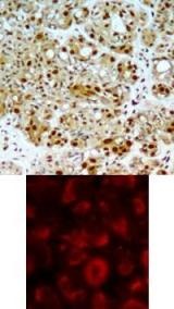
Top Image: Immunohistochemical analysis of paraffin-embedded human breast carcinoma tissue using HSP90B. Bottom Image: Immunofluorescence staining of methanol-fixed HeLa cells showing cytoplasmic staining using HSP90B.
Quick Database Links
UniProt Details
−NCBI Reference Sequences
−| Protein | NP_031381.2 |
|---|
Documents Download
Request a Document
Protocol Information
HSP90AB1 Antibody (orb1253537)
Participating in our Biorbyt product reviews program enables you to support fellow scientists by sharing your firsthand experience with our products.
Login to Submit a Review






































