You have no items in your shopping cart.
HSPA9 Antibody
Description
Research Area
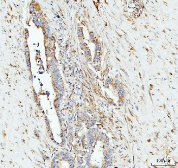
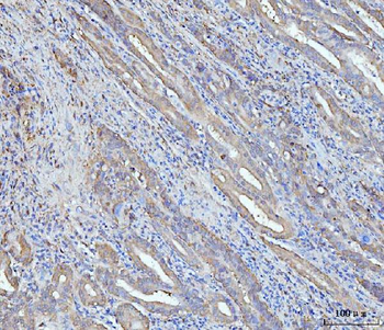
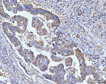
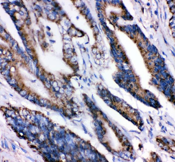
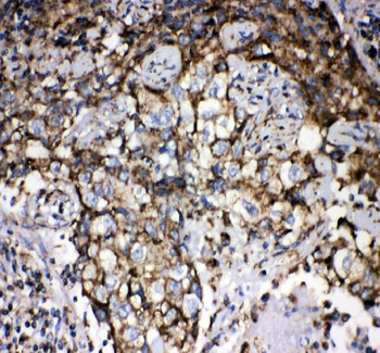
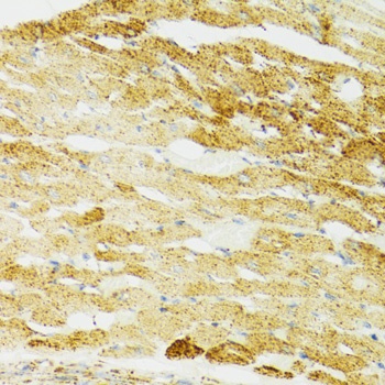
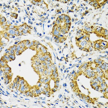
Images & Validation
−| Tested Applications | ELISA, IF, IHC, WB |
|---|---|
| Dilution Range | WB: 1:500-1:2000, IHC-P: 1:100-1:300, IF: 1:200-1:1000, ELISA: 1:40000 |
| Reactivity | Human, Monkey, Mouse, Rat |
Key Properties
−| Host | Rabbit |
|---|---|
| Clonality | Polyclonal |
| Isotype | IgG |
| Immunogen | Synthesized peptide derived from the C-terminal region of Human HSP A9. |
| Target | HSPA9 |
| Purification | The antibody was affinity-purified from rabbit antiserum by affinity-chromatography using epitope-specific immunogen. |
| Conjugation | Unconjugated |
Storage & Handling
−| Storage | Maintain refrigerated at 2-8°C for up to 2 weeks. For long term storage store at -20°C in small aliquots to prevent freeze-thaw cycles. |
|---|---|
| Form/Appearance | Liquid |
| Buffer/Preservatives | Liquid in PBS containing 50% glycerol, 0.5% rAlbumin and 0.02% sodium azide. |
| Expiration Date | 12 months from date of receipt. |
| Disclaimer | For research use only |
Alternative Names
−Similar Products
−GRP75 Rabbit Polyclonal Antibody [orb10746]
IF, IHC-Fr, IHC-P, WB
Bovine, Canine, Equine, Porcine, Rabbit
Human, Mouse, Rat
Rabbit
Polyclonal
Unconjugated
50 μl, 100 μl, 200 μlGrp75 Mouse Monoclonal Antibody [orb865658]
FC, ICC, IF, IHC, WB
Human, Mouse, Rat
Mouse
Monoclonal
Unconjugated
100 μgHSPA9 Rabbit Polyclonal Antibody [orb573591]
IHC, IP, WB
Bovine, Canine, Equine, Guinea pig, Rabbit
Human, Mouse, Rat
Rabbit
Polyclonal
Unconjugated
100 μlGrp75/HSPA9 Rabbit Polyclonal Antibody [orb315150]
FC, ICC, IF, IHC, IP, WB
Human, Mouse, Rat
Rabbit
Polyclonal
Unconjugated
100 μgHSP A9 rabbit pAb Antibody [orb765453]
ELISA, IF, IHC, WB
Human, Monkey, Mouse, Rat
Polyclonal
Unconjugated
100 μl, 50 μl

Quality Guarantee
Explore bioreagents carefree to elevate your research. All our products are rigorously tested for performance. If a product does not perform as described on its datasheet, our scientific support team will provide expert troubleshooting, a prompt replacement, or a refund. For full details, please see our Terms & Conditions and Buying Guide. Contact us at support@biorbyt.com.

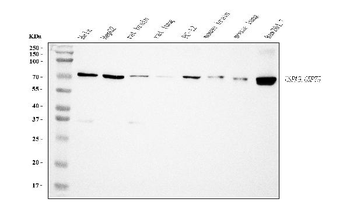
Western blot analysis of NIH-3T3 RAT-MUSCLE cells using HSPA9 antibody

Western blot analysis of COS7 cells using HSPA9 antibody
Documents Download
Request a Document
Protocol Information
HSPA9 Antibody (orb675633)
Participating in our Biorbyt product reviews program enables you to support fellow scientists by sharing your firsthand experience with our products.
Login to Submit a Review




























