You have no items in your shopping cart.
Human ACE2 Ready-To-Use IHC Kit
Description
Images & Validation
−| Tested Applications | IHC |
|---|
Key Properties
−| Reactivity | Human |
|---|---|
| Sample Types | FFPE tissue |
Storage & Handling
−| Storage | Please store components at the temperatures indicated on the individual tube labels. The kit is stable for 6 months from the date of receipt. |
|---|---|
| Disclaimer | For research use only |

Quality Guarantee
Explore bioreagents carefree to elevate your research. All our products are rigorously tested for performance. If a product does not perform as described on its datasheet, our scientific support team will provide expert troubleshooting, a prompt replacement, or a refund. For full details, please see our Terms & Conditions and Buying Guide. Contact us at support@biorbyt.com.

Immunohistochemical analysis of paraffin embedded human kidney carcinoma tissue slide using orb1817144 (Human ACE2 IHC Kit).

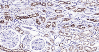
Immunohistochemical analysis of paraffin embedded human kidney tissue slide using orb1817144 (Human ACE2 IHC Kit).
Documents Download
Request a Document
Human ACE2 Ready-To-Use IHC Kit (orb1817144)
Participating in our Biorbyt product reviews program enables you to support fellow scientists by sharing your firsthand experience with our products.
Login to Submit a Review