You have no items in your shopping cart.
Human OPTN protein
Description
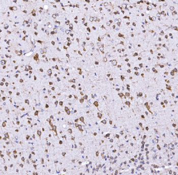
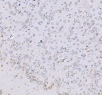
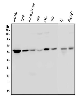
Images & Validation
−| Application Notes |
|---|
Key Properties
−| Source | Baculovirus |
|---|---|
| Biological Origin | Homo sapiens (Human) |
| Tag | C-terminal 9xHis-tagged |
| Molecular Weight | 67.9 kDa |
| Expression Region | 1-577aa |
| Protein Length | Full Length |
| Protein Sequence | MSHQPLSCLTEKEDSPSESTGNGPPHLAHPNLDTFTPEELLQQMKELLTENHQLKEAMKLNNQAMKGRFEELSAWTEKQKEERQFFEIQSKEAKERLMALSHENEKLKEELGKLKGKSERSSEDPTDDSRLPRAEAEQEKDQLRTQVVRLQAEKADLLGIVSELQLKLNSSGSSEDSFVEIRMAEGEAEGSVKEIKHSPGPTRTVSTGTALSKYRSRSADGAKNYFEHEELTVSQLLLCLREGNQKVERLEVALKEAKERVSDFEKKTSNRSEIETQTEGSTEKENDEEKGPETVGSEVEALNLQVTSLFKELQEAHTKLSEAELMKKRLQEKCQALERKNSAIPSELNEKQELVYTNKKLELQVESMLSEIKMEQAKTEDEKSKLTVLQMTHNKLLQEHNNALKTIEELTRKESEKVDRAVLKELSEKLELAEKALASKQLQMDEMKQTIAKQEEDLETMTILRAQMEVYCSDFHAERAAREKIHEEKEQLALQLAVLLKENDAFEDGGRQSLMEMQSRHGARTSDSDQQAYLVQRGAEDRDWRQQRNIPIHSCPKCGEVLPDIDTLQIHVMDCII |
| Purity | Greater than 90% as determined by SDS-PAGE. |
Storage & Handling
−| Storage | The shelf life is related to many factors, storage state, buffer ingredients, storage temperature and the stability of the protein itself. Generally, the shelf life of liquid form is 6 months at -20℃/-80℃. The shelf life of lyophilized form is 12 months at -20℃/-80℃. |
|---|---|
| Form/Appearance | Liquid or Lyophilized powder |
| Buffer/Preservatives | If the delivery form is liquid, the default storage buffer is Tris/PBS-based buffer, 5%-50% glycerol. If the delivery form is lyophilized powder, the buffer before lyophilization is Tris/PBS-based buffer, 6% Trehalose, pH 8.0. |
| Disclaimer | For research use only |
Alternative Names
−Similar Products
−Optineurin/OPTN Antibody [orb251526]
FC, IHC, WB
Human, Mouse, Rat
Rabbit
Polyclonal
Unconjugated
100 μgOptineurin/OPTN Antibody (monoclonal, 3D8) [orb527046]
FC, WB
Human, Mouse, Rat
Mouse
Monoclonal
Unconjugated
100 μgHuman OPTN protein [orb383122]
Greater than 90% as determined by SDS-PAGE.
67.9 kDa
Yeast
20 μg, 100 μg, 1 mg

Quality Guarantee
Explore bioreagents carefree to elevate your research. All our products are rigorously tested for performance. If a product does not perform as described on its datasheet, our scientific support team will provide expert troubleshooting, a prompt replacement, or a refund. For full details, please see our Terms & Conditions and Buying Guide. Contact us at support@biorbyt.com.

(Tris-Glycine gel) Discontinuous SDS-PAGE (reduced) with 5% enrichment gel and 15% separation gel.

Based on the SEQUEST from database of Baculovirus host and target protein, the LC-MS/MS Analysis result could indicate that this peptide derived from Baculovirus-expressed Homo sapiens (Human) OPTN.

Based on the SEQUEST from database of Baculovirus host and target protein, the LC-MS/MS Analysis result could indicate that this peptide derived from Baculovirus-expressed Homo sapiens (Human) OPTN.
Quick Database Links
UniProt Details
−Documents Download
Request a Document
Protocol Information
Human OPTN protein (orb419284)
Participating in our Biorbyt product reviews program enables you to support fellow scientists by sharing your firsthand experience with our products.
Login to Submit a Review








