You have no items in your shopping cart.
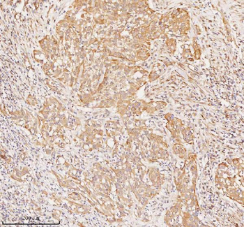
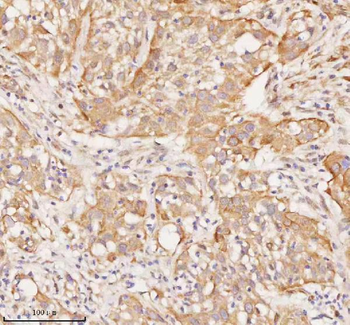
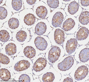
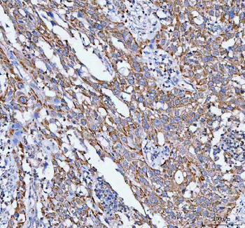
Human ubiquitin Antibody
Description
Research Area
Images & Validation
−
| Tested Applications | ELISA, FC, IF |
|---|---|
| Reactivity | Human |
Key Properties
−| Antibody Type | Primary Antibody |
|---|---|
| Host | Camelus |
| Clonality | Monoclonal |
| Isotype | Camelid VHH |
| Target | human ubiquitin |
| Molecular Weight | 15 kDa |
| Purity | > 95% as determined by SDS-PAGE |
| Conjugation | Unconjugated |
Storage & Handling
−| Storage | Maintain refrigerated at 2-8°C for up to 2 weeks. For long term storage store at -20°C in small aliquots to prevent freeze-thaw cycles. |
|---|---|
| Form/Appearance | Liquid/dried |
| Buffer/Preservatives | 25 mM TAPS pH 8.5, 500 mM NaCl, 5 mM EDTA, 0.09 % NaN3 |
| Expiration Date | 12 months from date of receipt. |
| Disclaimer | For research use only |
Similar Products
−UBE2I UBC9 Rabbit Polyclonal Antibody [orb443231]
FC, ICC, IF, IHC, IHC-Fr, WB
Human, Mouse, Rat
Rabbit
Polyclonal
Unconjugated
100 μgRNF25 Rabbit Polyclonal Antibody [orb1939817]
ELISA, FC, IF, IHC, WB
Human, Mouse, Rat
Rabbit
Polyclonal
Unconjugated
100 μgPELI3 Rabbit Polyclonal Antibody [orb1819438]
ELISA, FC, ICC, IF, IHC, WB
Human, Mouse, Rat
Rabbit
Polyclonal
Unconjugated
100 μgSumo 1/SUMO1 Rabbit Polyclonal Antibody [orb692211]
FC, ICC, IF, IHC
Human, Mouse, Rat
Rabbit
Polyclonal
Unconjugated
100 μg

Quality Guarantee
Explore bioreagents carefree to elevate your research. All our products are rigorously tested for performance. If a product does not perform as described on its datasheet, our scientific support team will provide expert troubleshooting, a prompt replacement, or a refund. For full details, please see our Terms & Conditions and Buying Guide. Contact us at support@biorbyt.com.
Quick Database Links
Documents Download
Request a Document
Protocol Information
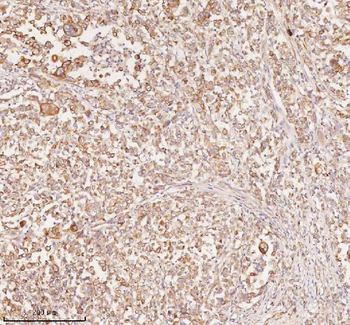
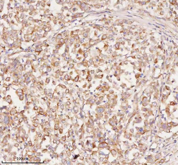
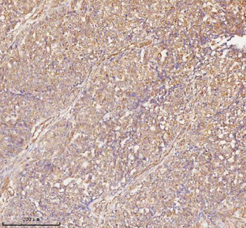
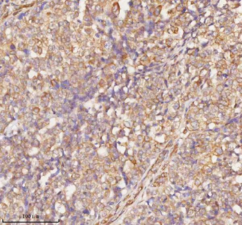
Human ubiquitin Antibody (orb1946401)
Participating in our Biorbyt product reviews program enables you to support fellow scientists by sharing your firsthand experience with our products.
Login to Submit a Review






















































