You have no items in your shopping cart.
LC3 antibody
Description
Images & Validation
−| Tested Applications | ICC, IF, IHC-P, WB |
|---|---|
| Dilution Range | IF/ICC: 1:100-800, IHC-P: 1:100-800, WB: 1:200-2000 |
| Reactivity | Human, Mouse, Rat |
| Predicted Reactivity | Bovine |
Key Properties
−| Host | Rabbit |
|---|---|
| Clonality | Polyclonal |
| Isotype | IgG |
| Immunogen | KLH conjugated synthetic peptide derived from human LC3. Please contact us for the exact immunogen sequence. The peptide is available as orb12928. |
| Target | LC3 |
| Molecular Weight | 14 kDa |
| Purity | Polyclonal antibodies are purified by peptide affinity chromatography |
| Conjugation | Unconjugated |
Storage & Handling
−| Storage | Maintain refrigerated at 2-8°C for up to 2 weeks. For long term storage store at -20°C in small aliquots to prevent freeze-thaw cycles. |
|---|---|
| Form/Appearance | 10 mM PBS, 0.02% sodium azide |
| Concentration | - 100 μg (in 200 μl): 0.5 mg/ml- 200 μg (in 400 μl): 0.5 mg/ml |
| Expiration Date | 12 months from date of receipt. |
| Disclaimer | For research use only |
Alternative Names
−Similar Products
−LC3A Mouse Monoclonal Antibody [orb499565]
IF, IHC-Fr, IHC-P, WB
Mouse, Rat
Human, Mouse, Rat
Mouse
Monoclonal
Unconjugated
200 μl, 50 μl, 100 μl, 200 μgMAP1LC3B Antibody [orb1274430]
IF, IHC, WB
Human, Mouse, Porcine, Rat
Rabbit
Polyclonal
Unconjugated
100 μlLC3B Rabbit Polyclonal Antibody [orb6295]
IF, IHC-Fr, IHC-P
Bovine, Canine, Equine, Gallus, Human, Porcine, Zebrafish
Mouse, Rabbit, Rat
Rabbit
Polyclonal
Unconjugated
50 μl, 100 μl, 200 μlMAP1LC3A Rabbit Polyclonal Antibody [orb413067]
ELISA, IHC, WB
Human, Mouse, Rat
Rabbit
Polyclonal
Unconjugated
100 μgLC3 Rabbit Polyclonal Antibody [orb500748]
WB
Bovine, Equine, Human, Porcine, Rat
Mouse
Rabbit
Polyclonal
Unconjugated
200 μl, 50 μl, 100 μl

Quality Guarantee
Explore bioreagents carefree to elevate your research. All our products are rigorously tested for performance. If a product does not perform as described on its datasheet, our scientific support team will provide expert troubleshooting, a prompt replacement, or a refund. For full details, please see our Terms & Conditions and Buying Guide. Contact us at support@biorbyt.com.

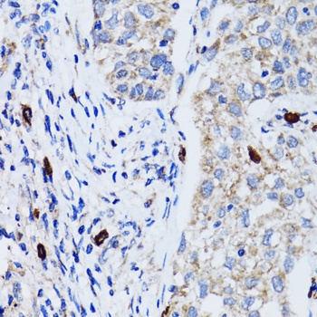
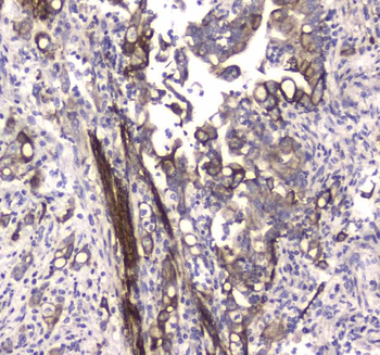
IHC-P image of rat prostate tissue using LC3 antibody (dilution of primary antibody at 2.5 ug/ml)

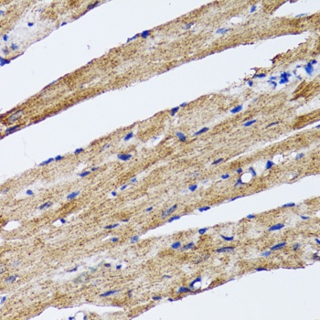
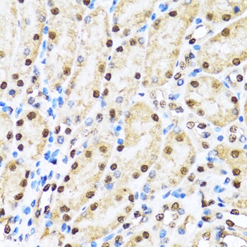
Immunohistochemical staining of mouse heart tissue using LC3 antibody (dilution of primary antibody - 2.5 ug/ml)

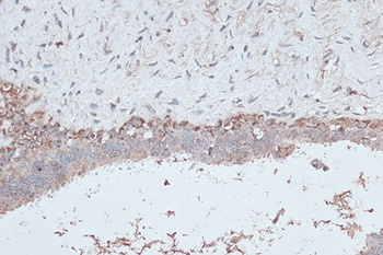
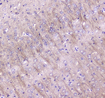
Immunohistochemical staining of rat spinal cord tissue using anti- LC3 (dilution of primary antibody - 2.5 ug/ml)

IHC-P staining of rat spinal cord tissue using LC3 antibody (dilution at 2.5 ug/ml)

Immunofluorescence image of rat spinal cord tissue using anti- LC3 (dilution at 2.5 ug/ml)

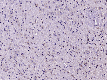
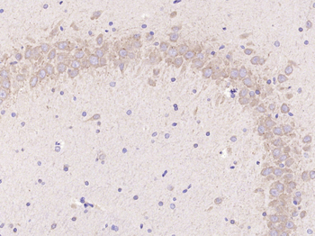
Immunohistochemical staining of paraffin embedded rat brain tissue using LC3 antibody (primary antibody at 2.5 ug/ml)

WB analysis of U251 cells (lane 1), 293T cells (lane 2), mouse brain (lane 3), rat spinal cord (lane 4), rat heart (lane 5), mouse uterus (lane 6), rat bladder (lane 7) using LC3 antibody (1 ug/ml)

Immunohistochemical staining of paraffin embedded rat prostate tissue using LC3 antibody (primary antibody at 2.5 ug/ml)

IF image of rat thymus tissue using LC3 antibody (primary antibody at 2.5 ug/ml)

IHC-P image of rat spinal cord tissue using LC3 antibody (dilution of primary antibody at 2.5 ug/ml)

Wesstern blot analysis of U251 cells (lane 1), 293T cells (lane 2), mouse brain (lane 3), rat spinal cord (lane 4), rat heart (lane 5), mouse uterus (lane 6), rat bladder (lane 7) using LC3 antibody (1 ug/ml)

IHC-P staining of rat brain tissue using anti- LC3 (dilution at 2.5 ug/ml)

IF analysis of rat thymus tissue using LC3 antibody (dilution of primary antibody at 2.5 ug/ml)

Immunohistochemical staining of rat spinal cord tissue using anti- LC3 (dilution of primary antibody - 2.5 ug/ml)

Immunofluorescence analysis of rat spinal cord tissue using LC3 antibody (dilution of primary antibody - 2.5 ug/ml)
Documents Download
Request a Document
Protocol Information
Filter by Applications
Filter by Species
Masoumeh Azimirad, Maryam Noori, Sahar Amirkamali, Gelareh Nasiri, Hamid Asadzadeh Aghdaei, Abbas Yadegar, Daniel J. Klionsky, Mohammad Reza Zali Clostridioides difficile PCR ribotypes 001 and 084 can trigger autophagy process in human intestinal Caco-2 cells Microb Pathog, 185, 106450 (2023)
Applications
Reactivity
LC3 antibody (orb33328)
Participating in our Biorbyt product reviews program enables you to support fellow scientists by sharing your firsthand experience with our products.
Login to Submit a ReviewFilter by Rating
- 5 stars
- 4 stars
- 3 stars
- 2 stars
- 1 stars
Filter by Applications
Filter by Species
Boiling of cell lysates and tissue extracts, western blot, expression studies. Great reproducibility. Good and clear results. Excellent product, will definitely buy again.

































