You have no items in your shopping cart.
IDH3A Antibody
Description
Research Area
Images & Validation
−| Tested Applications | ELISA, IF, IHC, IP, WB |
|---|---|
| Dilution Range | WB:1:500-5000, IHC-P:1:20-200, IF:1:50-200, IP:1:200-2000 |
| Reactivity | Human, Mouse, Rat |
Key Properties
−| Host | Rabbit |
|---|---|
| Clonality | Polyclonal |
| Isotype | IgG |
| Immunogen | Recombinant Human Isocitrate dehydrogenase [NAD] subunit alpha, mitochondrial protein (28-108AA) |
| Target | IDH3A |
| Purification | >95%, Protein G purified |
| Conjugation | Unconjugated |
Storage & Handling
−| Storage | Maintain refrigerated at 2-8°C for up to 2 weeks. For long term storage store at -20°C in small aliquots to prevent freeze-thaw cycles. |
|---|---|
| Form/Appearance | Liquid |
| Buffer/Preservatives | Preservative: 0.03% Proclin 300. Constituents: 50% Glycerol |
| Expiration Date | 12 months from date of receipt. |
| Disclaimer | For research use only |
Alternative Names
−Similar Products
−IDH3A Rabbit Polyclonal Antibody [orb1819478]
ELISA, FC, ICC, IF, IHC, WB
Human, Mouse, Rat
Rabbit
Polyclonal
Unconjugated
100 μgIDH3A Rabbit Polyclonal Antibody [orb578394]
IHC-P, WB
Bovine, Canine, Equine, Guinea pig, Mouse, Rabbit, Rat, Zebrafish
Human
Rabbit
Polyclonal
Unconjugated
100 μlIDH3A Antibody [orb22494]
ELISA, IHC, WB
Bovine, Canine
Human, Mouse, Porcine, Rat
Goat
Polyclonal
Unconjugated
100 μgIDH3A rabbit pAb Antibody [orb766923]
ELISA, IF, IHC, WB
Human, Mouse, Rat
Polyclonal
Unconjugated
100 μl, 50 μl

Quality Guarantee
Explore bioreagents carefree to elevate your research. All our products are rigorously tested for performance. If a product does not perform as described on its datasheet, our scientific support team will provide expert troubleshooting, a prompt replacement, or a refund. For full details, please see our Terms & Conditions and Buying Guide. Contact us at support@biorbyt.com.

Western blot analysis of HepG2 whole cell lysate(lane 1), Jurkat whole cell lysate(lane 2), Rat brain tissue(lane 3), Mouse brain tissue(lane 4), Mouse liver tissue(lane 5) using IDH3A antibody

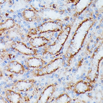
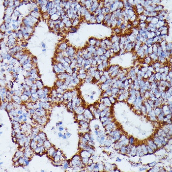
Immunohistochemical staining of Human adrenal gland tissue using IDH3A antibody

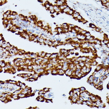
Immunofluorescence analysis of A549 cells using IDH3A antibody

Immunoprecipitation analysis of HepG2 whole cell lysate using IDH3A antibody
Quick Database Links
UniProt Details
−Documents Download
Request a Document
Protocol Information
IDH3A Antibody (orb400476)
Participating in our Biorbyt product reviews program enables you to support fellow scientists by sharing your firsthand experience with our products.
Login to Submit a Review
























