You have no items in your shopping cart.
IFNA16 Antibody
SKU: orb685709
Description
Research Area
Immunology & Inflammation
Images & Validation
−Item 1 of 1
| Tested Applications | ELISA, IHC |
|---|---|
| Dilution Range | IHC-P: 1: 20-1: 200 |
| Reactivity | Human |
Key Properties
−| Host | Rabbit |
|---|---|
| Clonality | Polyclonal |
| Isotype | IgG |
| Immunogen | Recombinant Human Interferon alpha-16 protein (24-189AA) |
| Target | IFNA16 |
| Purification | >95%, Protein G purified |
| Conjugation | Unconjugated |
Storage & Handling
−| Storage | Maintain refrigerated at 2-8°C for up to 2 weeks. For long term storage store at -20°C in small aliquots to prevent freeze-thaw cycles. |
|---|---|
| Form/Appearance | Liquid |
| Buffer/Preservatives | Preservative: 0.03% Proclin 300. Constituents: 50% Glycerol |
| Expiration Date | 12 months from date of receipt. |
| Disclaimer | For research use only |
Alternative Names
−Anti-Interferon alpha-16 (IFN-alpha-16) (Interferon alpha-WA) antibody, anti-IFNA16 antibody
Similar Products
−IFNA16/Interferon alpha 16 Rabbit Polyclonal Antibody [orb100183]
IF, IHC-Fr, IHC-P
Human
Rabbit
Polyclonal
Unconjugated
100 μl, 200 μl, 50 μl

Quality Guarantee
Explore bioreagents carefree to elevate your research. All our products are rigorously tested for performance. If a product does not perform as described on its datasheet, our scientific support team will provide expert troubleshooting, a prompt replacement, or a refund. For full details, please see our Terms & Conditions and Buying Guide. Contact us at support@biorbyt.com.

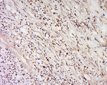
Immunohistochemical staining of human gastric cancer using IFNA16 antibody
Quick Database Links
Gene Symbol
IFNA16
UniProt
UniProt Details
− No UniProt data available
Documents Download
Datasheet
Product Information
Request a Document
Protocol Information
IHC
Immunohistochemistry
ELISA
Enzyme-linked Immunosorbent Assay (EIA)
IFNA16 Antibody (orb685709)
Based on 0 reviews
Participating in our Biorbyt product reviews program enables you to support fellow scientists by sharing your firsthand experience with our products.
Login to Submit a Review


