You have no items in your shopping cart.
IGFBP3 Antibody (N-term)
Description
Research Area
Images & Validation
−| Tested Applications | IHC-P, WB |
|---|---|
| Dilution Range | WB: 1:1000, IHC-P: 1:10~50 |
| Reactivity | Human |
| Predicted Reactivity | Rat |
Key Properties
−| Antibody Type | Primary Antibody |
|---|---|
| Host | Rabbit |
| Clonality | Polyclonal |
| Isotype | Rabbit IgG |
| Clone No. | RB08956 |
| Target | This IGFBP3 antibody is generated from rabbits immunized with a KLH conjugated synthetic peptide between 163-193 amino acids from the N-terminal region of human IGFBP3. |
| Molecular Weight | 31674 Da |
| Conjugation | Unconjugated |
Storage & Handling
−| Storage | Maintain refrigerated at 2-8°C for up to 2 weeks. For long term storage store at -20°C in small aliquots to prevent freeze-thaw cycles |
|---|---|
| Form/Appearance | Purified polyclonal antibody supplied in PBS with 0.09% (W/V) sodium azide. This antibody is purified through a protein G column, followed by dialysis against PBS. |
| Expiration Date | 12 months from date of receipt. |
| Disclaimer | For research use only |
Alternative Names
−Similar Products
−
Quality Guarantee
Explore bioreagents carefree to elevate your research. All our products are rigorously tested for performance. If a product does not perform as described on its datasheet, our scientific support team will provide expert troubleshooting, a prompt replacement, or a refund. For full details, please see our Terms & Conditions and Buying Guide. Contact us at support@biorbyt.com.

Western blot analysis of anti-IGFBP3 Antibody (N-term) in HepG2 cell line lysates (35 ug/lane). IGFBP3 (arrow) was detected using the purified Pab.

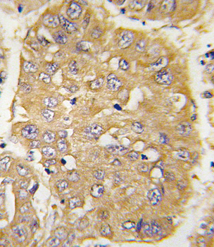
Formalin-fixed and paraffin-embedded human hepatocarcinoma tissue reacted with IGFBP3 Antibody (N-term), which was peroxidase-conjugated to the secondary antibody, followed by DAB staining. This data demonstrates the use of this antibody for immunohistochemistry; clinical relevance has not been evaluated.
Quick Database Links
UniProt Details
−NCBI Reference Sequences
−| Protein | NP_000589.2, NP_001013416.1 |
|---|
Documents Download
Request a Document
Protocol Information
IGFBP3 Antibody (N-term) (orb1929039)
Participating in our Biorbyt product reviews program enables you to support fellow scientists by sharing your firsthand experience with our products.
Login to Submit a Review

