You have no items in your shopping cart.
IGFBP7 Antibody
Description
Research Area
Images & Validation
−| Tested Applications | ELISA, WB |
|---|---|
| Dilution Range | WB:1:500-2000 |
| Reactivity | Human, Rat |
Key Properties
−| Host | Rabbit |
|---|---|
| Clonality | Polyclonal |
| Isotype | IgG |
| Immunogen | Recombinant Human Insulin-like growth factor-binding protein 7 protein (64-171AA) |
| Target | IGFBP7 |
| Purification | >95%, Protein G purified |
| Conjugation | Unconjugated |
Storage & Handling
−| Storage | Maintain refrigerated at 2-8°C for up to 2 weeks. For long term storage store at -20°C in small aliquots to prevent freeze-thaw cycles. |
|---|---|
| Form/Appearance | Liquid |
| Buffer/Preservatives | Preservative: 0.03% Proclin 300. Constituents: 50% Glycerol |
| Expiration Date | 12 months from date of receipt. |
| Disclaimer | For research use only |
Alternative Names
−Similar Products
−IGFBP7 Rabbit Polyclonal Antibody [orb330531]
IHC, WB
Bovine, Canine, Equine, Guinea pig, Rabbit, Rat, Sheep
Human, Mouse
Rabbit
Polyclonal
Unconjugated
100 μlRat Insulin Like Growth Factor Binding Protein 7 (IGFBP7) EasyStep ELISA Kit [orb2302968]
Rat
15.63-1000 ng/mL
7 ng/mL
48 T, 96 TMouse Insulin Like Growth Factor Binding Protein 7 (IGFBP7) EasyStep ELISA Kit [orb2302969]
Mouse
15.63-1000 ng/mL
7 ng/mL
48 T, 96 THuman Insulin Like Growth Factor Binding Protein 7 (IGFBP7) EasyStep ELISA Kit [orb2302970]
Human
3.13-200 ng/mL
1.4 ng/mL
48 T, 96 T

Quality Guarantee
Explore bioreagents carefree to elevate your research. All our products are rigorously tested for performance. If a product does not perform as described on its datasheet, our scientific support team will provide expert troubleshooting, a prompt replacement, or a refund. For full details, please see our Terms & Conditions and Buying Guide. Contact us at support@biorbyt.com.

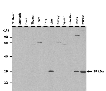
Western blot analysis of Rat kidney tissue using IGFBP7 antibody
Quick Database Links
UniProt Details
−Documents Download
Request a Document
Protocol Information
IGFBP7 Antibody (orb47591)
Participating in our Biorbyt product reviews program enables you to support fellow scientists by sharing your firsthand experience with our products.
Login to Submit a Review








