You have no items in your shopping cart.
IghA1 Antibody
Description
Images & Validation
−| Tested Applications | FC, ICC, IHC, WB |
|---|---|
| Dilution Range | WB: 1/500 - 1/2000; IHC: 1/200 - 1/1000; IF/ICC: 1/50 - 1/250; FCM: 1/200 - 1/400; ELISA: 1/10000 |
| Reactivity | Human, Monkey, Mouse |
Key Properties
−| Antibody Type | Primary Antibody |
|---|---|
| Host | Mouse |
| Clonality | Monoclonal |
| Isotype | Mouse IgG1 |
| Clone No. | 7D5F12 |
| Immunogen | Purified recombinant fragment of human IghA1 (AA: 207-353) expressed in E. Coli. |
| Target | IghA1 |
| Molecular Weight | 37.6kDa |
| Conjugation | Unconjugated |
Storage & Handling
−| Storage | Maintain refrigerated at 2-8°C for up to 2 weeks. For long term storage store at -20°C in small aliquots to prevent freeze-thaw cycles. |
|---|---|
| Buffer/Preservatives | Purified antibody in PBS with 0.05% sodium azide |
| Concentration | Approximately 1mg/ml (varies from batch to batch). Please inquire for precise concentration. |
| Expiration Date | 12 months from date of receipt. |
| Disclaimer | For research use only |
Alternative Names
−Similar Products
−Human IgA Mouse Monoclonal Antibody [orb1816743]
IF, IHC-Fr, IHC-P
Human
Mouse
Monoclonal
Unconjugated
200 μg, 50 μl, 100 μl, 200 μlIGHA1 Antibody [orb1410218]
IHC, WB
Human
Rabbit
Monoclonal
Unconjugated
100 μg (without BSA and Azide), 100 μg, 20 μg

Quality Guarantee
Explore bioreagents carefree to elevate your research. All our products are rigorously tested for performance. If a product does not perform as described on its datasheet, our scientific support team will provide expert troubleshooting, a prompt replacement, or a refund. For full details, please see our Terms & Conditions and Buying Guide. Contact us at support@biorbyt.com.

Line graph illustrates about the Ag-Ab reactions using different concentrations of antigen and serial dilutions of IghA1 antibody

Flow cytometric analysis of Hela cells using IghA1 antibody

Immunofluorescence analysis of Hela cells using IghA1 antibody

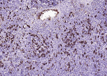
Immunohistochemical staining of human breast cancer tissue using IghA1 antibody

Western blot analysis of L1210 (Lane 1), THP-1 (Lane 2), HepG2 (Lane 3), and COS7 (Lane 4) cell lysate using IghA1 antibody

Western blot analysis of HEK293 cell lysate using IghA1 antibody

Western blot analysis of recombinant protein using IghA1 antibody
Documents Download
Request a Document
Protocol Information
IghA1 Antibody (orb379641)
Participating in our Biorbyt product reviews program enables you to support fellow scientists by sharing your firsthand experience with our products.
Login to Submit a Review
















