You have no items in your shopping cart.
IL10 antibody
Description
Images & Validation
−| Tested Applications | IHC-P |
|---|---|
| Dilution Range | WB: 2 μg/ml, IHC-P: 1:100, IF/ICC: 1:100 |
| Reactivity | Human, Mouse, Porcine, Rat |
Key Properties
−| Host | Rabbit |
|---|---|
| Clonality | Polyclonal |
| Isotype | IgG |
| Immunogen | KLH conjugated synthetic peptide derived from human IL10. Please contact us for the exact immunogen sequence. The peptide is available as orb374839. |
| Target | IL10 |
| Molecular Weight | 18 kDa |
| Purity | Polyclonal antibodies are purified by peptide affinity chromatography |
| Conjugation | Unconjugated |
Storage & Handling
−| Storage | Maintain refrigerated at 2-8°C for up to 2 weeks. For long term storage store at -20°C in small aliquots to prevent freeze-thaw cycles. |
|---|---|
| Form/Appearance | 10 mM PBS, 0.02% sodium azide |
| Concentration | - 100 μg (in 200 μl): 0.5 mg/ml- 200 μg (in 400 μl): 0.5 mg/ml |
| Expiration Date | 12 months from date of receipt. |
| Disclaimer | For research use only |
Alternative Names
−Similar Products
−IL-10 Rabbit Polyclonal Antibody [orb10892]
IF, IHC-Fr, IHC-P, WB
Gallus, Guinea pig, Porcine, Rabbit, Rat, Sheep
Human, Mouse
Rabbit
Polyclonal
Unconjugated
200 μl, 50 μl, 100 μlIL-10 rabbit pAb Antibody [orb766743]
ELISA, IF, IHC, WB
Human, Mouse, Rat
Polyclonal
Unconjugated
100 μl

Quality Guarantee
Explore bioreagents carefree to elevate your research. All our products are rigorously tested for performance. If a product does not perform as described on its datasheet, our scientific support team will provide expert troubleshooting, a prompt replacement, or a refund. For full details, please see our Terms & Conditions and Buying Guide. Contact us at support@biorbyt.com.

Immunohistochemical staining of mouse skin tissue using IL10 antibody (dilution of primary antibody - 1:100)

Immunofluorescence image of mouse skin tissue using IL10 antibody (dilution at 1:100)

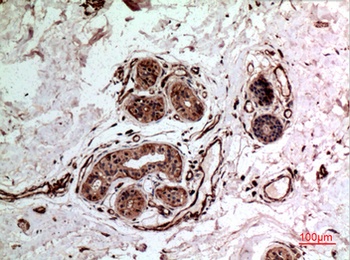
Immunohistochemical staining of paraffin embedded pig small intestine tissue using IL10 antibody (primary antibody at 1:100)

IF analysis of pig small intestine tissue using anti-IL10 (dilution of primary antibody at 1:100)

Immunofluorescence analysis of mouse skin tissue using anti-IL10 (dilution of primary antibody - 1:100)

IHC-P staining of pig small intestine tissue using anti-IL10 (dilution at 1:100)

IF image of pig small intestine tissue using anti-IL10 (primary antibody at 1:100)

Immunohistochemical staining of pig small intestine tissue using anti-IL10 (dilution of primary antibody - 1:100)

Immunohistochemical staining of mouse skin tissue using IL10 antibody (dilution of primary antibody - 1:100)
Quick Database Links
Documents Download
Request a Document
Filter by Applications
Filter by Species
Romulo de Oliveira Sales-Junior 1, Bharbara de Moura Pereira 1, Rafaela Ricci 1, Nathália Evelyn da Silva Machado 1, Julissa Denisse Arguello Alvarado 1, Ana Beatriz Carreto 1, Edilson Ervolino 2, Anil Kishen 3, Luciano Tavares Ângelo Cintra 1, João Eduardo Gomes-Filho 4 Systemic administration of polyphenols from dealcoholized red wine reduces inflammation and bone resorption in established apical periodontitis in male rats Arch Oral Biol ., (2025)
Applications
Reactivity
Cosme-Silva, L. et al. Systemic administration of probiotics reduces the severity of apical periodontitis Int Endod J, (2019)
Applications
Reactivity
Dal-Fabbro, R. et al. Excessive caffeine intake increases bone resorption associated with periapical periodontitis in rats Int Endod J, (2021)
Applications
Reactivity
IL10 antibody (orb221323)
Participating in our Biorbyt product reviews program enables you to support fellow scientists by sharing your firsthand experience with our products.
Login to Submit a Review













