You have no items in your shopping cart.
IL13RA2 Rabbit Polyclonal Antibody
Description
Research Area
Images & Validation
−| Tested Applications | WB |
|---|---|
| Reactivity | Human |
| Predicted Reactivity | Rabbit, Rat |
Key Properties
−| Host | Rabbit |
|---|---|
| Clonality | Polyclonal |
| Immunogen | The immunogen is a synthetic peptide directed towards the middle region of human IL13RA2 |
| Target | IL13RA2 |
| Protein Sequence | Synthetic peptide located within the following region: GQNIGCRFPYLEASDYKDFYICVNGSSENKPIRSSYFTFQLQNIVKPLPP |
| Molecular Weight | 44 kDa |
| Purification | Affinity Purified |
| Conjugation | Unconjugated |
Storage & Handling
−| Storage | Maintain refrigerated at 2-8°C for up to 2 weeks. For long term storage store at -20°C in small aliquots to prevent freeze-thaw cycles. |
|---|---|
| Buffer/Preservatives | Liquid. Purified antibody supplied in 1x PBS buffer with 0.09% (w/v) sodium azide and 2% sucrose. |
| Concentration | 0.5 mg/ml |
| Expiration Date | 12 months from date of receipt. |
| Disclaimer | For research use only |
Alternative Names
−Similar Products
−IL-13Rα2 rabbit pAb Antibody [orb767221]
ELISA, IF, IHC, WB
Human, Mouse, Rat
Polyclonal
Unconjugated
100 μl, 50 μlIL13RA2 Rabbit Polyclonal Antibody [orb582119]
WB
Bovine, Canine, Equine, Guinea pig, Mouse, Porcine, Rabbit, Rat
Human
Rabbit
Polyclonal
Unconjugated
100 μlIL13RA2 Rabbit Polyclonal Antibody [orb612204]
IF, IHC-Fr, IHC-P, WB
Mouse, Rat
Human
Rabbit
Polyclonal
Unconjugated
100 μl, 200 μl, 50 μl

Quality Guarantee
Explore bioreagents carefree to elevate your research. All our products are rigorously tested for performance. If a product does not perform as described on its datasheet, our scientific support team will provide expert troubleshooting, a prompt replacement, or a refund. For full details, please see our Terms & Conditions and Buying Guide. Contact us at support@biorbyt.com.

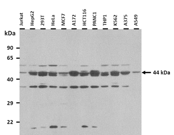
25 ug of the indicated Human whole cell extracts was loaded onto a 12% SDS-PAGE gel. 3 ug/ml of the antibody was used in this experiment. The protein may be modified by glycosylation.

WB Suggested Anti-IL13RA2 Antibody Titration: 0.2-1 ug/ml, Positive Control: HepG2 cell lysate.
Documents Download
Request a Document
IL13RA2 Rabbit Polyclonal Antibody (orb582120)
Participating in our Biorbyt product reviews program enables you to support fellow scientists by sharing your firsthand experience with our products.
Login to Submit a Review












