You have no items in your shopping cart.
IL18RAP Antibody
Description
Research Area
Images & Validation
−| Tested Applications | ELISA, IHC |
|---|---|
| Dilution Range | IHC-P:1:20-1:200 |
| Reactivity | Human |
Key Properties
−| Host | Rabbit |
|---|---|
| Clonality | Polyclonal |
| Isotype | IgG |
| Immunogen | Recombinant Human Interleukin-18 receptor accessory protein (390-599AA) |
| Target | IL18RAP |
| Purification | Antigen Affinity Purified |
| Conjugation | Unconjugated |
Storage & Handling
−| Storage | Maintain refrigerated at 2-8°C for up to 2 weeks. For long term storage store at -20°C in small aliquots to prevent freeze-thaw cycles. |
|---|---|
| Form/Appearance | Liquid |
| Buffer/Preservatives | PBS with 0.02% sodium azide, 50% glycerol, pH7.3. |
| Expiration Date | 12 months from date of receipt. |
| Disclaimer | For research use only |
Alternative Names
−Similar Products
−Human Interleukin 18 Receptor Accessory Protein (IL18RAP) ELISA Kit [orb777337]
Human
0.16-10 ng/mL
0.053 ng/mL
96 T, 48 TIL18R Beta Rabbit Polyclonal Antibody [orb5545]
ELISA, WB
Canine, Equine, Rat
Human
Rabbit
Polyclonal
Unconjugated
50 μl, 200 μl, 100 μl

Quality Guarantee
Explore bioreagents carefree to elevate your research. All our products are rigorously tested for performance. If a product does not perform as described on its datasheet, our scientific support team will provide expert troubleshooting, a prompt replacement, or a refund. For full details, please see our Terms & Conditions and Buying Guide. Contact us at support@biorbyt.com.

Immunohistochemical staining of human epityphlon using IL18RAP antibody

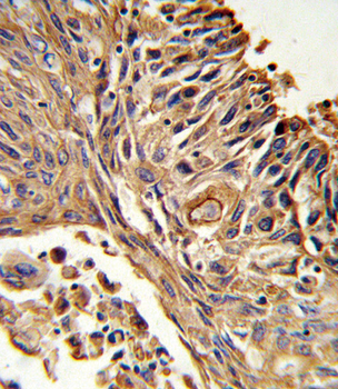
Immunohistochemical staining of human lung cancer using IL18RAP antibody

Immunohistochemical staining of human colon cancer using IL18RAP antibody
Quick Database Links
UniProt Details
−Documents Download
Request a Document
Protocol Information
IL18RAP Antibody (orb353668)
Participating in our Biorbyt product reviews program enables you to support fellow scientists by sharing your firsthand experience with our products.
Login to Submit a Review






