You have no items in your shopping cart.
IL2 Antibody
Description
Research Area
Images & Validation
−| Tested Applications | ELISA, IHC, WB |
|---|---|
| Dilution Range | WB: 1:500-1:5000; IHC: 1:20-1:200 |
| Reactivity | Human, Mouse |
Key Properties
−| Antibody Type | Primary Antibody |
|---|---|
| Host | Mouse |
| Clonality | Monoclonal |
| Isotype | IgG1 |
| Immunogen | interleukin 2 |
| Target | IL2 |
| Molecular Weight | 18KD |
| Purity | ≥95% as determined by SDS-PAGE |
| Purification | Protein A+G purified |
| Conjugation | Unconjugated |
Storage & Handling
−| Storage | Maintain refrigerated at 2-8°C for up to 2 weeks. For long term storage store at -20°C in small aliquots to prevent freeze-thaw cycles. |
|---|---|
| Form/Appearance | liquid |
| Expiration Date | 12 months from date of receipt. |
| Disclaimer | For research use only |
Alternative Names
−Similar Products
−AREB6/ZEB1 Mouse Monoclonal Antibody [orb1184754]
ICC, IF, IHC, WB
Human, Mouse, Rat
Mouse
Monoclonal
Unconjugated
100 μgZEB1/NIL2A Rabbit Polyclonal Antibody [orb6954]
FC, IF, IHC-Fr, IHC-P, WB
Bovine, Canine, Gallus, Porcine, Rabbit
Human, Mouse, Rat
Rabbit
Polyclonal
Unconjugated
50 μl, 100 μl, 200 μlAnti-IL-2R alpha (CD25) [Basiliximab] [orb1152522]
Blocking, FC, IF, IHC, WB
Human, Primate
Human
Monoclonal
Unconjugated
0.2 mgAnti-IL-2R alpha (CD25) [Basiliximab] [orb348865]
Blocking, FC, IF, IHC, WB
Human, Primate
Human
Monoclonal
Unconjugated
0.2 mgAnti-IL-2R alpha (CD25) [Basiliximab] [orb348908]
Blocking, FC, IF, IHC, WB
Human, Primate
Human
Monoclonal
Unconjugated
0.2 mg

Quality Guarantee
Explore bioreagents carefree to elevate your research. All our products are rigorously tested for performance. If a product does not perform as described on its datasheet, our scientific support team will provide expert troubleshooting, a prompt replacement, or a refund. For full details, please see our Terms & Conditions and Buying Guide. Contact us at support@biorbyt.com.

Jurkat cells were subjected to SDS PAGE followed by western blot with orb628011 (IL2 Antibody) at dilution of 1:1000.

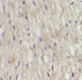
Immunohistochemistry of paraffin-embedded human breast cancer tissue slide using orb628011 (IL2 Antibody) at dilution of 1:100.
Quick Database Links
UniProt Details
−Documents Download
Request a Document
Protocol Information
IL2 Antibody (orb628011)
Participating in our Biorbyt product reviews program enables you to support fellow scientists by sharing your firsthand experience with our products.
Login to Submit a Review



















![Anti-IL-2R alpha (CD25) [Basiliximab]](/images/pub/media/catalog/product/NewWebsite/35/orb1152522_1.png)
![Anti-IL-2R alpha (CD25) [Basiliximab]](/images/pub/media/catalog/product/NewWebsite/35/orb1152522_2.png)
![Anti-IL-2R alpha (CD25) [Basiliximab]](/images/pub/media/catalog/product/NewWebsite/35/orb1152522_3.png)
![Anti-IL-2R alpha (CD25) [Basiliximab]](/images/pub/media/catalog/product/NewWebsite/35/orb1152522_4.png)
![Anti-IL-2R alpha (CD25) [Basiliximab]](/images/pub/media/catalog/product/NewWebsite/35/orb1152522_5.png)
![Anti-IL-2R alpha (CD25) [Basiliximab]](/images/pub/media/catalog/product/NewWebsite/35/orb1152522_6.png)
![Anti-IL-2R alpha (CD25) [Basiliximab]](/images/pub/media/catalog/product/NewWebsite/35/orb348865_1.png)
![Anti-IL-2R alpha (CD25) [Basiliximab]](/images/pub/media/catalog/product/NewWebsite/35/orb348865_2.png)
![Anti-IL-2R alpha (CD25) [Basiliximab]](/images/pub/media/catalog/product/NewWebsite/35/orb348865_3.png)
![Anti-IL-2R alpha (CD25) [Basiliximab]](/images/pub/media/catalog/product/NewWebsite/35/orb348865_4.png)
![Anti-IL-2R alpha (CD25) [Basiliximab]](/images/pub/media/catalog/product/NewWebsite/35/orb348865_5.png)
![Anti-IL-2R alpha (CD25) [Basiliximab]](/images/pub/media/catalog/product/NewWebsite/35/orb348865_6.png)
![Anti-IL-2R alpha (CD25) [Basiliximab]](/images/pub/media/catalog/product/NewWebsite/35/orb348908_1.png)
![Anti-IL-2R alpha (CD25) [Basiliximab]](/images/pub/media/catalog/product/NewWebsite/35/orb348908_2.png)
![Anti-IL-2R alpha (CD25) [Basiliximab]](/images/pub/media/catalog/product/NewWebsite/35/orb348908_3.png)
![Anti-IL-2R alpha (CD25) [Basiliximab]](/images/pub/media/catalog/product/NewWebsite/35/orb348908_4.png)
![Anti-IL-2R alpha (CD25) [Basiliximab]](/images/pub/media/catalog/product/NewWebsite/35/orb348908_5.png)
![Anti-IL-2R alpha (CD25) [Basiliximab]](/images/pub/media/catalog/product/NewWebsite/35/orb348908_6.png)