You have no items in your shopping cart.
IL24 Antibody
Description
Research Area
Images & Validation
−| Tested Applications | ELISA, IHC |
|---|---|
| Dilution Range | IHC-P:1:1000-2000 |
| Reactivity | Human |
Key Properties
−| Host | Rabbit |
|---|---|
| Clonality | Polyclonal |
| Isotype | IgG |
| Immunogen | Recombinant Human Interleukin-24 protein (52-207AA) |
| Target | IL24 |
| Purification | >95%, Protein G purified |
| Conjugation | Unconjugated |
Storage & Handling
−| Storage | Maintain refrigerated at 2-8°C for up to 2 weeks. For long term storage store at -20°C in small aliquots to prevent freeze-thaw cycles. |
|---|---|
| Form/Appearance | Liquid |
| Buffer/Preservatives | Preservative: 0.03% Proclin 300. Constituents: 50% Glycerol |
| Expiration Date | 12 months from date of receipt. |
| Disclaimer | For research use only |
Alternative Names
−Similar Products
−MDA-7 rabbit pAb Antibody [orb767016]
ELISA, IF, IHC, WB
Human, Mouse, Rat
Polyclonal
Unconjugated
50 μl, 100 μl

Quality Guarantee
Explore bioreagents carefree to elevate your research. All our products are rigorously tested for performance. If a product does not perform as described on its datasheet, our scientific support team will provide expert troubleshooting, a prompt replacement, or a refund. For full details, please see our Terms & Conditions and Buying Guide. Contact us at support@biorbyt.com.

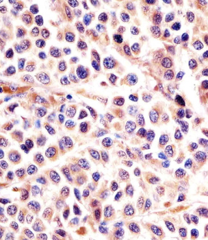
Immunohistochemistry of paraffin-embedded human melanoma tissue using IL24 antibody

Immunohistochemistry of paraffin-embedded human prostate cancer tissue using IL24 antibody
Quick Database Links
UniProt Details
−Documents Download
Request a Document
Protocol Information
IL24 Antibody (orb28899)
Participating in our Biorbyt product reviews program enables you to support fellow scientists by sharing your firsthand experience with our products.
Login to Submit a Review








