You have no items in your shopping cart.
IL27RA Antibody
Description
Research Area
Images & Validation
−| Tested Applications | ELISA, IHC |
|---|---|
| Dilution Range | IHC-P:1:20-1:200 |
| Reactivity | Human |
Key Properties
−| Host | Rabbit |
|---|---|
| Clonality | Polyclonal |
| Isotype | IgG |
| Immunogen | Recombinant Human Interleukin-27 receptor subunit alpha protein (33-283AA) |
| Target | IL27RA |
| Purification | Antigen Affinity Purified |
| Conjugation | Unconjugated |
Storage & Handling
−| Storage | Maintain refrigerated at 2-8°C for up to 2 weeks. For long term storage store at -20°C in small aliquots to prevent freeze-thaw cycles. |
|---|---|
| Form/Appearance | Liquid |
| Buffer/Preservatives | PBS with 0.02% sodium azide, 50% glycerol, pH7.3. |
| Disclaimer | For research use only |
Alternative Names
−Similar Products
−IL27RA Antibody [orb1238838]
ELISA, IF, IHC-P, WB
Mouse
Human
Rabbit
Polyclonal
Unconjugated
0.1 mg, 0.02 mgIL27RA Antibody [orb1238839]
ELISA, IF, IHC-P, WB
Mouse
Human
Rabbit
Polyclonal
Unconjugated
0.1 mg, 0.02 mg

Quality Guarantee
Explore bioreagents carefree to elevate your research. All our products are rigorously tested for performance. If a product does not perform as described on its datasheet, our scientific support team will provide expert troubleshooting, a prompt replacement, or a refund. For full details, please see our Terms & Conditions and Buying Guide. Contact us at support@biorbyt.com.

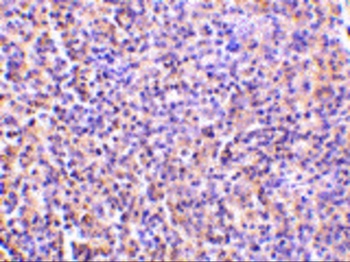
Immunohistochemical staining of human tonsil tissue using IL27RA antibody

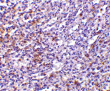
Immunohistochemical staining of human spleen tissue using IL27RA antibody
Quick Database Links
UniProt Details
−Documents Download
Request a Document
Protocol Information
IL27RA Antibody (orb352607)
Participating in our Biorbyt product reviews program enables you to support fellow scientists by sharing your firsthand experience with our products.
Login to Submit a Review











