You have no items in your shopping cart.
IL2RB Antibody
Description
Research Area
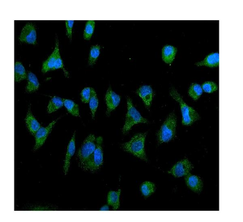
Images & Validation
−| Tested Applications | ELISA, IHC, WB |
|---|---|
| Dilution Range | ELISA:1:2000-1:5000, WB:1:500-1:2000, IHC-P:1:25-1:100 |
| Reactivity | Human |
Key Properties
−| Host | Rabbit |
|---|---|
| Clonality | Polyclonal |
| Isotype | IgG |
| Immunogen | Fusion protein of Human IL2RB |
| Target | IL2RB |
| Purification | Antigen Affinity Purified |
| Conjugation | Unconjugated |
Storage & Handling
−| Storage | Maintain refrigerated at 2-8°C for up to 2 weeks. For long term storage store at -20°C in small aliquots to prevent freeze-thaw cycles. |
|---|---|
| Form/Appearance | Liquid |
| Buffer/Preservatives | -20°C, pH7.4 PBS, 0.05% NaN3, 40% Glycerol |
| Expiration Date | 12 months from date of receipt. |
| Disclaimer | For research use only |
Alternative Names
−Similar Products
−Human Interleukin 2 Receptor Beta (IL2Rb) ELISA Kit [orb778915]
Human
78.13-5000 pg/mL
30 pg/mL
96 T, 48 TIL2 Receptor beta/p75/IL2RB Rabbit Polyclonal Antibody [orb692187]
ELISA, FC, ICC, IF, IHC, WB
Human, Mouse, Rat
Rabbit
Polyclonal
Unconjugated
100 μg

Quality Guarantee
Explore bioreagents carefree to elevate your research. All our products are rigorously tested for performance. If a product does not perform as described on its datasheet, our scientific support team will provide expert troubleshooting, a prompt replacement, or a refund. For full details, please see our Terms & Conditions and Buying Guide. Contact us at support@biorbyt.com.

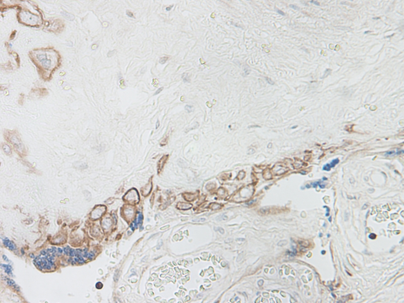
Immunohistochemistry of paraffin-embedded Human cervical cancer tissue using IL2RB antibody

Western blot aanalysis of Lane 1-4: 231 cells, 293T cells, Raji cells, hela cellsusing IL2RB antibody

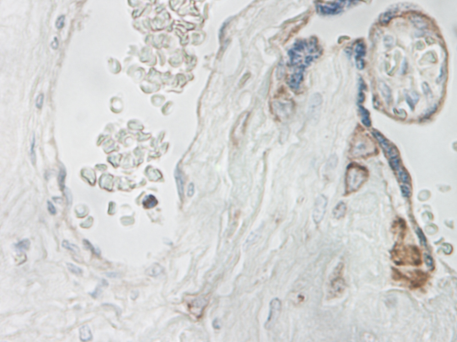
Immunohistochemistry of paraffin-embedded Human thyroid cancer tissue using IL2RB antibody
Quick Database Links
UniProt Details
−Documents Download
Request a Document
Protocol Information
IL2RB Antibody (orb520446)
Participating in our Biorbyt product reviews program enables you to support fellow scientists by sharing your firsthand experience with our products.
Login to Submit a Review














