You have no items in your shopping cart.
IL6 Antibody
Description
Images & Validation
−| Tested Applications | ELISA, IHC, WB |
|---|---|
| Dilution range | WB:1:500-1:2000, IHC-P:1:20-1:200 |
| Reactivity | Human, Mouse |
Key Properties
−| Host | Rabbit |
|---|---|
| Clonality | Polyclonal |
| Isotype | IgG |
| Immunogen | Recombinant Human Interleukin-6 protein (30-212AA) |
| Target | IL6 |
| Purification | >95%, Protein G purified |
| Conjugation | Unconjugated |
Storage & Handling
−| Storage | Maintain refrigerated at 2-8°C for up to 2 weeks. For long term storage store at -20°C in small aliquots to prevent freeze-thaw cycles. |
|---|---|
| Form/Appearance | Liquid |
| Buffer/Preservatives | Preservative: 0.03% Proclin 300. Constituents: 50% Glycerol |
| Disclaimer | For research use only |
Alternative Names
−Similar Products
−HGF Rabbit Polyclonal Antibody [orb579132]
IHC, WB
Bovine, Canine, Equine, Guinea pig, Mouse, Porcine, Rabbit, Rat, Sheep
Human
Rabbit
Polyclonal
Unconjugated
100 μlPARP/PARP1 Antibody (monoclonal, 2I2H4) [orb738400]
FC, ICC, IF, IHC, WB
Human, Mouse, Rat
Mouse
Monoclonal
Unconjugated
100 μgPCNA Antibody (monoclonal, 2G2) [orb865596]
FC, ICC, IF, IHC, WB
Human, Mouse, Rat
Mouse
Monoclonal
Unconjugated
100 μgSP1 Antibody (monoclonal, 3C4C3) [orb1474870]
FC, ICC, IF, IHC, WB
Human
Mouse
Monoclonal
Unconjugated
100 μg

Quality Guarantee
Explore bioreagents carefree to elevate your research. All our products are rigorously tested for performance. If a product does not perform as described on its datasheet, our scientific support team will provide expert troubleshooting, a prompt replacement, or a refund. For full details, please see our Terms & Conditions and Buying Guide. Contact us at support@biorbyt.com.

Western blot analysis of Lane 1: human PBMC cells(lane 1), Recombinant Interleukin-6 protein(lane 2) using IL6 antibody

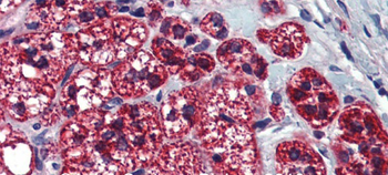
Immunohistochemical staining of human cervical cancer using IL6 antibody
Quick Database Links
UniProt Details
−Documents Download
Request a Document
Protocol Information
IL6 Antibody (orb239372)
Participating in our Biorbyt product reviews program enables you to support fellow scientists by sharing your firsthand experience with our products.
Login to Submit a Review




























































