You have no items in your shopping cart.
IMP3 Antibody
Description
Images & Validation
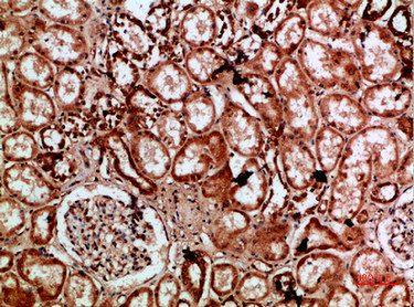
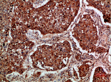
−| Tested Applications | IHC, WB |
|---|---|
| Dilution range | WB 1:2000, IHC 1:500 |
| Reactivity | Human, Mouse, Rat |
Key Properties
−| Antibody Type | Primary Antibody |
|---|---|
| Host | Mouse |
| Clonality | Monoclonal |
| Isotype | IgG1 |
| Clone No. | OTI6A4 |
| Immunogen | Full length human recombinant protein of human IGF2BP3 (NP_006538) produced in E.coli. |
| Target | IMP3 |
| Molecular Weight | 63.5 kDa |
| Conjugation | Unconjugated |
Storage & Handling
−| Storage | Maintain refrigerated at 2-8°C for up to 2 weeks. For long term storage store at -20°C in small aliquots to prevent freeze-thaw cycles. |
|---|---|
| Disclaimer | For research use only |
Similar Products
−Human Insulin Like Growth Factor 2 mRNA Binding Protein 3 (IGF2BP3) ELISA Kit [orb780219]
Human
0.16-10 ng/mL
0.065 ng/mL
48 T, 96 TIMP3 Antibody (C-term) [orb1927656]
FC, IHC-P, WB
Human, Mouse
Rabbit
Polyclonal
Unconjugated
50 μl, 100 μl

Quality Guarantee
Explore bioreagents carefree to elevate your research. All our products are rigorously tested for performance. If a product does not perform as described on its datasheet, our scientific support team will provide expert troubleshooting, a prompt replacement, or a refund. For full details, please see our Terms & Conditions and Buying Guide. Contact us at support@biorbyt.com.

Western blot analysis of HEK293T cells were transfected with the pCMV6-ENTRY control (Left lane) or pCMV6-ENTRY IGF2BP3 ( Right lane) using IMP3 (IGF2BP3) antibody
Documents Download
Request a Document
Protocol Information
IMP3 Antibody (orb1313472)
Participating in our Biorbyt product reviews program enables you to support fellow scientists by sharing your firsthand experience with our products.
Login to Submit a Review















