You have no items in your shopping cart.
ISL1 Antibody
Description
Images & Validation
−| Tested Applications | ICC, IHC |
|---|---|
| Dilution Range | IHC: 1/200 - 1/1000; IF/ICC: 1/200 - 1/1000; ELISA: 1/10000 |
| Reactivity | Human, Mouse, Rabbit, Rat |
Key Properties
−| Antibody Type | Primary Antibody |
|---|---|
| Host | Mouse |
| Clonality | Monoclonal |
| Isotype | Mouse IgG1 |
| Clone No. | 1H9B2 |
| Immunogen | Purified recombinant fragment of human ISL1 expressed in E. Coli. |
| Target | ISL1 |
| Molecular Weight | 39kDa |
| Conjugation | Unconjugated |
Storage & Handling
−| Storage | Maintain refrigerated at 2-8°C for up to 2 weeks. For long term storage store at -20°C in small aliquots to prevent freeze-thaw cycles. |
|---|---|
| Buffer/Preservatives | Purified antibody in PBS with 0.05% sodium azide. |
| Concentration | Approximately 1mg/ml (varies from batch to batch). Please inquire for precise concentration. |
| Expiration Date | 12 months from date of receipt. |
| Disclaimer | For research use only |
Alternative Names
−Similar Products
−Islet-1 Rabbit Polyclonal Antibody [orb500848]
IF, IHC-Fr, IHC-P, WB
Bovine, Equine, Sheep
Human, Mouse, Rat
Rabbit
Polyclonal
Unconjugated
50 μl, 100 μl, 200 μlIslet 1/ISL1 Rabbit Polyclonal Antibody [orb1819353]
ELISA, ICC, IF, IHC, WB
Human, Mouse, Rat
Rabbit
Polyclonal
Unconjugated
100 μgIslet 1 antibody [orb251477]
ELISA, IHC-P, WB
Equine, Gallus, Human, Mouse, Rat, Sheep
Rabbit
Polyclonal
Unconjugated
100 μgHuman ISL LIM Homeobox Protein 1 (ISL1) ELISA Kit [orb778270]
Human
0.16-10 ng/mL
0.06 ng/mL
96 T, 48 T

Quality Guarantee
Explore bioreagents carefree to elevate your research. All our products are rigorously tested for performance. If a product does not perform as described on its datasheet, our scientific support team will provide expert troubleshooting, a prompt replacement, or a refund. For full details, please see our Terms & Conditions and Buying Guide. Contact us at support@biorbyt.com.

Confocal immunofluorescence analysis of HEK293 cells using ISL1 antibody

Western blot analysis of HEK293 cell lysate using ISL1 antibody

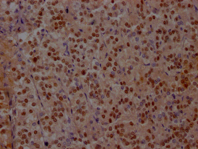
Immunohistochemical analysis of formalin fixed and paraffin-embedded human lung cancer (left) and cervical carcinoma (right), showing nuclear localization using ISL1 antibody
Documents Download
Request a Document
Protocol Information
ISL1 Antibody (orb97570)
Participating in our Biorbyt product reviews program enables you to support fellow scientists by sharing your firsthand experience with our products.
Login to Submit a Review

























