You have no items in your shopping cart.
ITPR1 Antibody
Description
Research Area
Images & Validation
−| Tested Applications | ELISA, IF, IHC |
|---|---|
| Dilution range | IHC-P:1:20-200, IF:1:50-200 |
| Reactivity | Human |
Key Properties
−| Host | Rabbit |
|---|---|
| Clonality | Polyclonal |
| Isotype | IgG |
| Immunogen | Recombinant Human Inositol 1,4,5-trisphosphate receptor type 1 protein (1707-1966AA) |
| Target | ITPR1 |
| Purification | >95%, Protein G purified |
| Conjugation | Unconjugated |
Storage & Handling
−| Storage | Maintain refrigerated at 2-8°C for up to 2 weeks. For long term storage store at -20°C in small aliquots to prevent freeze-thaw cycles. |
|---|---|
| Form/Appearance | Liquid |
| Buffer/Preservatives | Preservative: 0.03% Proclin 300. Constituents: 50% Glycerol |
| Disclaimer | For research use only |
Alternative Names
−Similar Products
−IP3 receptor/ITPR1 Antibody [orb215979]
FC, ICC, IF, IHC, WB
Human, Mouse, Rat
Rabbit
Polyclonal
Unconjugated
100 μgIP3R-I (phospho Ser1598) rabbit pAb Antibody [orb768839]
ELISA, IF, IHC
Human, Mouse, Rat
Polyclonal
Unconjugated
100 μl, 50 μlPhospho-IP3 receptor (Ser1598) Rabbit Polyclonal Antibody [orb184461]
IF, IHC-Fr, IHC-P
Bovine, Canine, Equine, Gallus, Human, Porcine, Rabbit, Sheep
Mouse, Rat
Rabbit
Polyclonal
Unconjugated
50 μl, 100 μl, 200 μlIP3R-I (phospho Ser1764) rabbit pAb Antibody [orb768838]
ELISA, IF, IHC, WB
Human, Mouse, Rat
Polyclonal
Unconjugated
100 μl, 50 μlIP3R-I rabbit pAb Antibody [orb768840]
ELISA, IF, IHC
Human, Mouse, Rat
Polyclonal
Unconjugated
100 μl, 50 μl

Quality Guarantee
Explore bioreagents carefree to elevate your research. All our products are rigorously tested for performance. If a product does not perform as described on its datasheet, our scientific support team will provide expert troubleshooting, a prompt replacement, or a refund. For full details, please see our Terms & Conditions and Buying Guide. Contact us at support@biorbyt.com.

Immunohistochemistry of paraffin-embedded human testis tissue using ITPR1 antibody

Immunofluorescent analysis of Hela cells using ITPR1 antibody

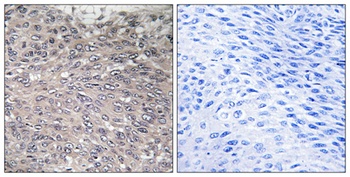
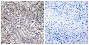
Immunohistochemistry of paraffin-embedded human breast cancer tissue using ITPR1 antibody
Quick Database Links
UniProt Details
−Documents Download
Request a Document
Protocol Information
ITPR1 Antibody (orb415065)
Participating in our Biorbyt product reviews program enables you to support fellow scientists by sharing your firsthand experience with our products.
Login to Submit a Review













