You have no items in your shopping cart.
KRT Antibody
Description
Research Area
Images & Validation
−| Tested Applications | ELISA, WB |
|---|---|
| Dilution Range | WB: 1: 500-2000, ELISA: 1: 10000-20000 |
| Reactivity | Human, Mouse, Rat |
Key Properties
−| Host | Rabbit |
|---|---|
| Clonality | Polyclonal |
| Isotype | IgG |
| Immunogen | Synthetic peptide from Human protein at AA range: 150-220 |
| Target | KRT |
| Purification | The antibody was affinity-purified from rabbit serum by affinity-chromatography using specific immunogen. |
| Conjugation | Unconjugated |
Storage & Handling
−| Storage | Maintain refrigerated at 2-8°C for up to 2 weeks. For long term storage store at -20°C in small aliquots to prevent freeze-thaw cycles. |
|---|---|
| Form/Appearance | Liquid |
| Buffer/Preservatives | PBS, pH 7.4, containing 0.02% sodium azide as Preservative and 50% Glycerol. |
| Expiration Date | 12 months from date of receipt. |
| Disclaimer | For research use only |
Alternative Names
−Similar Products
−Cytokeratin 8 Mouse Monoclonal Antibody [orb500822]
FC, IF, IHC-Fr, IHC-P
Mouse, Rat
Human, Mouse, Rat
Mouse
Monoclonal
Unconjugated
200 μg, 200 μl, 50 μl, 100 μlCK17 Mouse Monoclonal Antibody [orb500510]
IF, IHC-Fr, IHC-P, WB
Human
Mouse
Monoclonal
Unconjugated
200 μg, 200 μl, 50 μl, 100 μlCK16 Mouse Monoclonal Antibody [orb500617]
IF, IHC-Fr, IHC-P
Rat
Human, Mouse, Rat
Mouse
Monoclonal
Unconjugated
200 μg, 50 μl, 100 μl, 200 μlCK20 Recombinant Rabbit Monoclonal Antibody [orb559077]
FC, ICC, IF, IHC-Fr, IHC-P, WB
Mouse
Human, Rat
Rabbit
Recombinant
Unconjugated
100 μl, 50 μl, 25 μlCytokeratin 19 Rabbit Polyclonal Antibody [orb5872]
FC, IF, IHC-Fr, IHC-P, WB
Bovine, Canine, Equine, Gallus, Mouse, Porcine, Rabbit, Rat
Human
Rabbit
Polyclonal
Unconjugated
50 μl, 200 μl, 100 μl

Quality Guarantee
Explore bioreagents carefree to elevate your research. All our products are rigorously tested for performance. If a product does not perform as described on its datasheet, our scientific support team will provide expert troubleshooting, a prompt replacement, or a refund. For full details, please see our Terms & Conditions and Buying Guide. Contact us at support@biorbyt.com.

Western blot analysis of mouse-lung mouse-brain mouse-kidney mouse-heart lysate using KRT antibody
Documents Download
Request a Document
Protocol Information
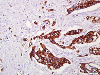
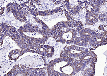
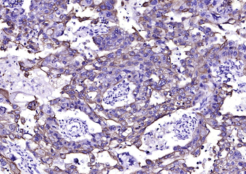
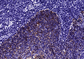
KRT Antibody (orb676368)
Participating in our Biorbyt product reviews program enables you to support fellow scientists by sharing your firsthand experience with our products.
Login to Submit a Review






































































