You have no items in your shopping cart.
KRT81 Antibody
Description
Research Area
Images & Validation
−| Tested Applications | ELISA, IHC, WB |
|---|---|
| Dilution Range | WB:1:500-5000, IHC-P:1:20-200 |
| Reactivity | Human, Mouse |
Key Properties
−| Host | Rabbit |
|---|---|
| Clonality | Polyclonal |
| Isotype | IgG |
| Immunogen | Recombinant Human Keratin, type II cuticular Hb1 protein (3-505AA) |
| Target | KRT81 |
| Purification | >95%, Protein G purified |
| Conjugation | Unconjugated |
Storage & Handling
−| Storage | Maintain refrigerated at 2-8°C for up to 2 weeks. For long term storage store at -20°C in small aliquots to prevent freeze-thaw cycles. |
|---|---|
| Form/Appearance | Liquid |
| Buffer/Preservatives | Preservative: 0.03% Proclin 300. Constituents: 50% Glycerol |
| Expiration Date | 12 months from date of receipt. |
| Disclaimer | For research use only |
Alternative Names
−Similar Products
−KRT81/Keratin 81/KRTHB1 Antibody [orb1538311]
ELISA, IF, IHC, IHC-P, WB
Human
Mouse
Monoclonal
Unconjugated
50 μgKRT81 Rabbit Polyclonal Antibody [orb628344]
ELISA, IF, IHC, WB
Human, Mouse, Rat
Rabbit
Polyclonal
Unconjugated
50 μg, 100 μg

Quality Guarantee
Explore bioreagents carefree to elevate your research. All our products are rigorously tested for performance. If a product does not perform as described on its datasheet, our scientific support team will provide expert troubleshooting, a prompt replacement, or a refund. For full details, please see our Terms & Conditions and Buying Guide. Contact us at support@biorbyt.com.

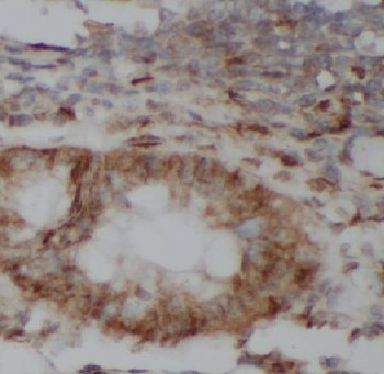
Immunohistochemical staining of human colon cancer using KRT81 antibody

Immunohistochemical staining of human breast cancer using KRT81 antibody

Western blot analysis of Hela whole cell lysate(lane 1), HepG2 whole cell lysate(lane 2), HEK293 whole cell lysate(lane 3), Mouse liver tissue(lane 4) using KRT81 antibody
Quick Database Links
UniProt Details
−Documents Download
Request a Document
Protocol Information
KRT81 Antibody (orb24783)
Participating in our Biorbyt product reviews program enables you to support fellow scientists by sharing your firsthand experience with our products.
Login to Submit a Review








