You have no items in your shopping cart.
L-Lactyl-Histone H3 (Lys56)/H3K56la Antibody
SKU: orb2938600
Description
Images & Validation
−Item 1 of 2
| Tested Applications | IHC, WB |
|---|---|
| Dilution Range | WB: 1:500-1000, IHC: 1:100-500 |
| Reactivity | Human, Mouse, Rat |
Key Properties
−| Host | Rabbit |
|---|---|
| Immunogen | Around QK(La)ST |
| Molecular Weight | 16 kDa |
| Purification | Antibodies are purified by protein A and peptide affinity chromatography. |
| Conjugation | Unconjugated |
Storage & Handling
−| Storage | Maintain refrigerated at 2-8°C for up to 2 weeks. For long term storage store at -20°C in small aliquots to prevent freeze-thaw cycles. |
|---|---|
| Form/Appearance | Liquid |
| Buffer/Preservatives | PBS, 50% glycerol, 0.05% Proclin 300, 0.08%rAlbumin |
| Concentration | ~1mg/ml |
| Expiration Date | 12 months from date of receipt. |
| Disclaimer | For research use only |
Alternative Names
−Lactyl Histone H3 (Lys56),H3K56la ,H3

Quality Guarantee
Explore bioreagents carefree to elevate your research. All our products are rigorously tested for performance. If a product does not perform as described on its datasheet, our scientific support team will provide expert troubleshooting, a prompt replacement, or a refund. For full details, please see our Terms & Conditions and Buying Guide. Contact us at support@biorbyt.com.

Western blot analysis of NIH/3T3 and C6 lysates using L-Lactyl-Histone H3 (Lys56)/H3K56la Antibody.

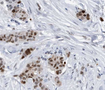
Immunohistochemistry analysis of Prostate cancer tissue using L-Lactyl-Histone H3 (Lys56)/H3K56la Antibody.
Quick Database Links
UniProt
UniProt Details
− No UniProt data available
Documents Download
Datasheet
Product Information
Request a Document
Protocol Information
WB
Western Blot (IB, immunoblot)
IHC
Immunohistochemistry
L-Lactyl-Histone H3 (Lys56)/H3K56la Antibody (orb2938600)
Based on 0 reviews
Participating in our Biorbyt product reviews program enables you to support fellow scientists by sharing your firsthand experience with our products.
Login to Submit a Review