You have no items in your shopping cart.
LAG3 Antibody
Description
Research Area
Images & Validation
−| Tested Applications | ELISA, FC, ICC, IF, IHC-P, WB |
|---|---|
| Reactivity | Human |
| Application Notes |
Key Properties
−| Antibody Type | Primary Antibody |
|---|---|
| Host | Mouse |
| Clonality | Monoclonal |
| Isotype | IgG1,k |
| Clone No. | 1G4 |
| Immunogen | LAG-3 antibody was raised against the extracellular domain of human LAG-3 |
| Target | LAG3 |
| Molecular Weight | Predicted: 55 kDa Observed: 60, 70, 80 kDa |
| Purification | LAG-3 Antibody is supplied as protein A purified IgG1. |
| Conjugation | Unconjugated |
Storage & Handling
−| Storage | Maintain refrigerated at 2-8°C for up to 2 weeks. For long term storage store at -20°C in small aliquots to prevent freeze-thaw cycles. |
|---|---|
| Form/Appearance | Liquid |
| Buffer/Preservatives | LAG-3 Antibody is supplied in PBS containing 0.02% sodium azide and 50% glycerol. |
| Concentration | 1 mg/mL |
| Expiration Date | 12 months from date of receipt. |
| Disclaimer | For research use only |
Alternative Names
−Similar Products
−LAG3 Antibody (Center) [orb1929672]
FC, IHC-P, WB
Human, Mouse, Rat
Rabbit
Polyclonal
Unconjugated
100 μl, 50 μlLAG3 Antibody [orb1239547]
ELISA, FC, ICC, IF, IHC-P, WB
Human
Mouse
Monoclonal
Unconjugated
0.1 mg, 0.02 mgLAG3 Antibody [orb1239548]
ELISA, FC, ICC, IF, IHC-P, WB
Human
Mouse
Monoclonal
Unconjugated
0.1 mg, 0.02 mgLAG3 Antibody [orb1239551]
ELISA, FC, ICC, IF, IHC-P
Human
Mouse
Monoclonal
Unconjugated
0.1 mg, 0.02 mg

Quality Guarantee
Explore bioreagents carefree to elevate your research. All our products are rigorously tested for performance. If a product does not perform as described on its datasheet, our scientific support team will provide expert troubleshooting, a prompt replacement, or a refund. For full details, please see our Terms & Conditions and Buying Guide. Contact us at support@biorbyt.com.

Western blot analysis of LAG-3 in over expressing HEK293 cells using LAG-3 antibody at (A) 0.25 (B) 0.5 and (C) 1 μg/ml.

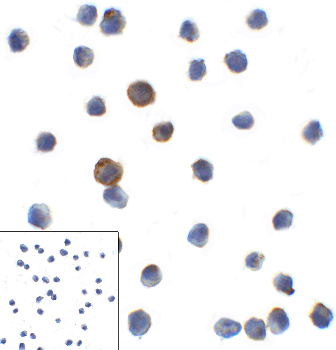
Immunocytochemistry of LAG-3 in over expressing HEK293 cells using LAG-3 antibody and control mouse IgG antibody (left corner box) at 1 μg/ml.

Immunofluorescence of LAG-3 in over expressing HEK293 cells using LAG-3 Antibody at 2 μg/ml. Green: LAG3 Antibody [1G4] (orb1239546) Blue: DAPI staining

Immunofluorescence of LAG-3 in over human spleen tissue using LAG-3 Antibody at 10 μg/ml. Green: LAG3 Antibody [1G4] (orb1239546) Blue: DAPI staining

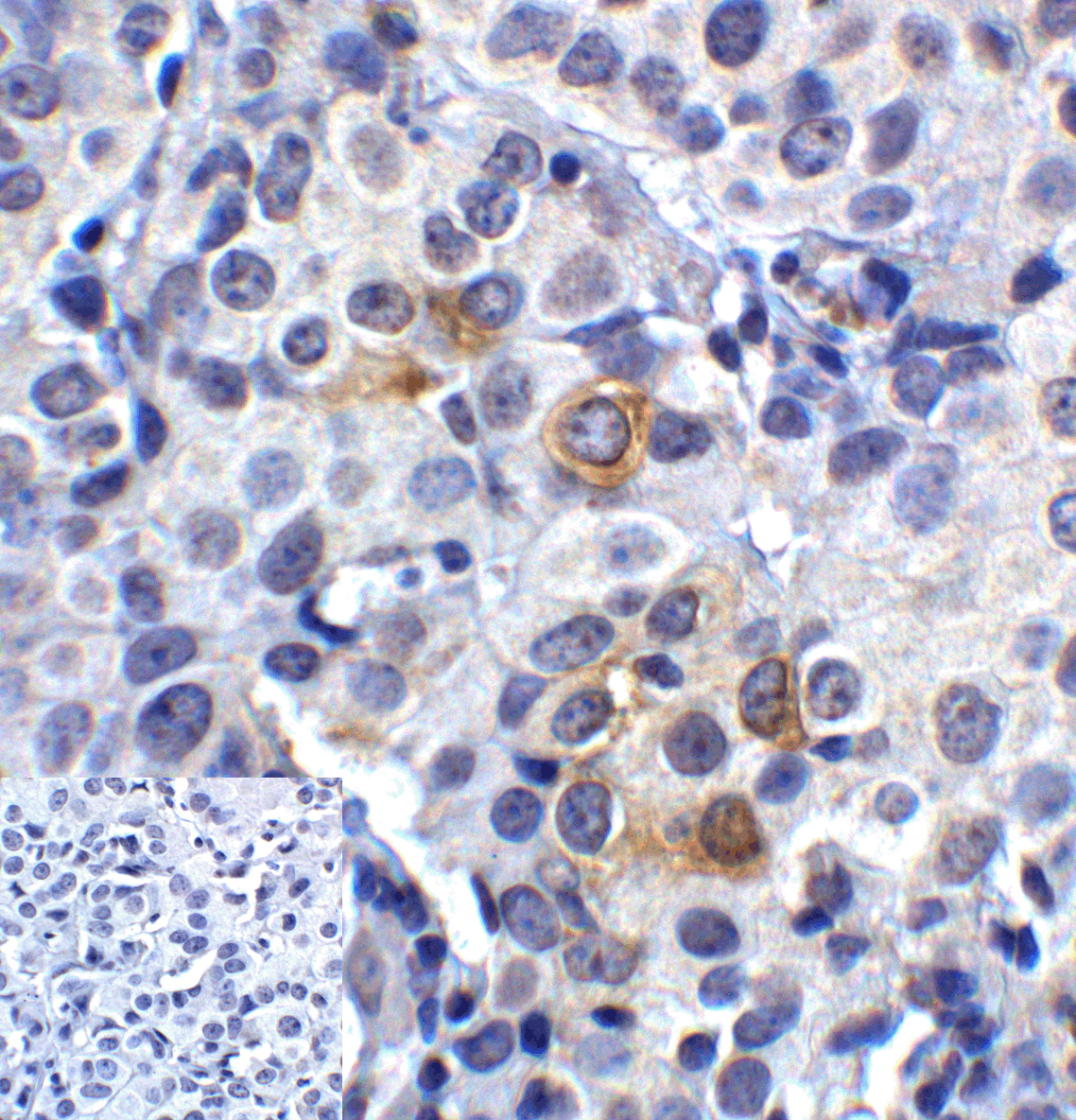
Immunohistochemistry of LAG-3 in human lymphoma tissue using LAG-3 Antibody and control mouse IgG (corner box) at 5 μg/ml.

Flow cytometry analysis of LAG-3 over expressing HEK293 cells using LAG-3 antibody at 1 μg/ml. Blue: untransfected HEK293 cells. Yellow: LAG-3 over expressing HEK293 cells.

Titration curve analysis of LAG-3 mAbs to detect recombinant LAG-3 in ELISA with orb1239547, orb1239545, orb1239551, orb1239549, orb1239550, orb1239548, and orb1239546 antibodies at decreasing concentrations.

A sandwich ELISA was performed using the anti-LAG3 mAbs orb1239547, orb1239545, orb1239551, orb1239549, orb1239550 and orb1239548 as the capture antibodies for the LAG3 extracellular domain antigen with biotin-labeled Risk-Free anti-LAG3 mAbs as the detection antibodies.
Documents Download
Request a Document
Protocol Information
LAG3 Antibody (orb1239546)
Participating in our Biorbyt product reviews program enables you to support fellow scientists by sharing your firsthand experience with our products.
Login to Submit a Review

































