You have no items in your shopping cart.
Lamin A + C antibody
Description
Research Area
Images & Validation
−| Tested Applications | IHC-P, WB |
|---|---|
| Dilution range | WB: 1:500-1:3000 , IHC-P: 1:100-1:1000 |
| Reactivity | Human, Mouse |
| Application Notes |
Key Properties
−| Antibody Type | Primary Antibody |
|---|---|
| Host | Rabbit |
| Clonality | Polyclonal |
| Isotype | IgG |
| Immunogen | Recombinant protein encompassing a sequence within the center region of human Lamin A/C. The exact sequence is proprietary. |
| Target | Lamin A + C |
| Molecular Weight | 74 |
| Purity | Purified by antigen-affinity chromatography. |
| Purification | Purified by antigen-affinity chromatography. |
| Conjugation | Unconjugated |
Storage & Handling
−| Storage | Store as concentrated solution. Centrifuge briefly prior to opening vial. For short-term storage (1-2 weeks), store at 4°C. For long-term storage, aliquot and store at -20°lC or below. Avoid multiple freeze-thaw cycles. |
|---|---|
| Form/Appearance | Liquid: 0.1M Tris, 0.1M Glycine, 10% Glycerol (pH7). 0.01% Thimerosal was added as a preservative. |
| Buffer/Preservatives | 0.01% Thimerosal. 0.1M Tris-Glycine (pH7), 10% Glycerol |
| Concentration | 1 mg/ml |
| Disclaimer | For research use only |
Alternative Names
−Similar Products
−Rabbit Lamin-A/C Antibody [orb1524853]
ICC, IHC, IP, WB
Porcine
Human, Mouse
Rabbit
Polyclonal
Unconjugated
100 μl, 10 μlLMNA(Lamin-A/C) Antibody (Center) [orb1926507]
WB
Human, Mouse, Rat
Rabbit
Polyclonal
Unconjugated
100 μl, 50 μlLamin A/C Antibody [orb1474439]
IF, IHC, WB
Human, Mouse, Rat
Rabbit
Monoclonal
Unconjugated
50 μl, 200 μl, 100 μl, 30 μlLamin A/C Antibody [orb393095]
IF, IHC, WB
Bovine, Human, Monkey, Mouse, Porcine, Rat
Rabbit
Polyclonal
Unconjugated
30 μl, 100 μl, 200 μl, 50 μlLamin A/C Antibody [orb214197]
IF, IHC, WB
Bovine, Human, Monkey, Mouse, Porcine, Rat
Rabbit
Polyclonal
Unconjugated
30 μl, 100 μl, 200 μl, 50 μl

Quality Guarantee
Explore bioreagents carefree to elevate your research. All our products are rigorously tested for performance. If a product does not perform as described on its datasheet, our scientific support team will provide expert troubleshooting, a prompt replacement, or a refund. For full details, please see our Terms & Conditions and Buying Guide. Contact us at support@biorbyt.com.

Western blot analysis of Various whole cell using Lamin A + C antibody

Immunohistochemical staining of mouse prostate using Lamin A + C antibody

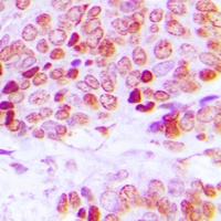
Immunohistochemical staining of H441 xenograft using Lamin A + C antibody

Immunohistochemical staining of mouse prostate using Lamin A + C antibody

Western blot analysis of HeLa cells using Lamin A + C antibody
Quick Database Links
UniProt Details
−Documents Download
Request a Document
Protocol Information
Lamin A + C antibody (orb556762)
Participating in our Biorbyt product reviews program enables you to support fellow scientists by sharing your firsthand experience with our products.
Login to Submit a Review













