You have no items in your shopping cart.
LAMP1 Antibody
Description
Research Area
Images & Validation
−| Tested Applications | ELISA, IF, IHC, WB |
|---|---|
| Dilution Range | WB: 1:500 - 1:2000; IHC: 1:50 - 1:200; IF: 1:50 - 1:200 |
| Reactivity | Human, Mouse, Rat |
Key Properties
−| Antibody Type | Primary Antibody |
|---|---|
| Host | Rabbit |
| Clonality | Polyclonal |
| Isotype | IgG |
| Immunogen | lysosomal-associated membrane protein 1 |
| Target | LAMP1 |
| Molecular Weight | 120 kDa |
| Purity | ≥95% as determined by SDS-PAGE |
| Purification | Immunogen affinity purified |
| Conjugation | Unconjugated |
Storage & Handling
−| Storage | Maintain refrigerated at 2-8°C for up to 2 weeks. For long term storage store at -20°C in small aliquots to prevent freeze-thaw cycles. |
|---|---|
| Form/Appearance | liquid |
| Disclaimer | For research use only |
Alternative Names
−Similar Products
−LAMP1 Rabbit Polyclonal Antibody [orb13749]
FC, ICC, IF, IHC-Fr, IHC-P, WB
Mouse, Porcine
Human
Rabbit
Polyclonal
Unconjugated
200 μl, 50 μl, 100 μlHuman Lysosomal Associated Membrane Protein 1 (LAMP1) ELISA Kit [orb777865]
Human
0.16-10 ng/mL
0.052 ng/mL
48 T, 96 TChicken Lysosomal Associated Membrane Protein 1 (LAMP1) ELISA Kit [orb782716]
Gallus
0.16-10 ng/mL
0.053 ng/mL
96 T, 48 T

Quality Guarantee
Explore bioreagents carefree to elevate your research. All our products are rigorously tested for performance. If a product does not perform as described on its datasheet, our scientific support team will provide expert troubleshooting, a prompt replacement, or a refund. For full details, please see our Terms & Conditions and Buying Guide. Contact us at support@biorbyt.com.

RAW 264.7 cells were subjected to SDS PAGE followed by western blot with orb628365 (CD107a Antibody) at dilution of 1:1000.

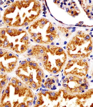
Immunohistochemistry of paraffin-embedded mouse kidney tissue slide using orb628365 (CD107a Antibody) at dilution of 1:200.
Quick Database Links
UniProt Details
−Documents Download
Request a Document
Protocol Information
LAMP1 Antibody (orb628365)
Participating in our Biorbyt product reviews program enables you to support fellow scientists by sharing your firsthand experience with our products.
Login to Submit a Review













