You have no items in your shopping cart.
LAMP2 Mouse Monoclonal Antibody
Description
Images & Validation
−| Tested Applications | IF, IHC, WB |
|---|---|
| Dilution Range | Western Blot 1:500-1:1000, Immunofluorescence 1:100-1:300, Immunohistochemistry (Paraffin, Frozen) 1:50-1:150 |
| Reactivity | Human |
Key Properties
−| Antibody Type | Primary Antibody |
|---|---|
| Host | Mouse |
| Clonality | Monoclonal |
| Target | LAMP2 / CD107b |
| Conjugation | Unconjugated |
Storage & Handling
−| Storage | Maintain refrigerated at 2-8°C for up to 2 weeks. For long term storage store at -20°C in small aliquots to prevent freeze-thaw cycles. |
|---|---|
| Buffer/Preservatives | Phosphate-buffered solution, pH 7.2, containing 0.09% sodium azide |
| Expiration Date | 12 months from date of receipt. |
| Disclaimer | For research use only |
Similar Products
−LAMP2a Rabbit Monoclonal Antibody [orb547792]
FC, ICC, IF, IHC, IP, WB
Human, Mouse, Rat
Rabbit
Monoclonal
Unconjugated
100 μlLAMP2 Mouse Monoclonal Antibody [orb632911]
ELISA, IHC, WB
Human
Mouse
Monoclonal
Unconjugated
50 μg, 100 μg

Quality Guarantee
Explore bioreagents carefree to elevate your research. All our products are rigorously tested for performance. If a product does not perform as described on its datasheet, our scientific support team will provide expert troubleshooting, a prompt replacement, or a refund. For full details, please see our Terms & Conditions and Buying Guide. Contact us at support@biorbyt.com.

Anti-LAMP2 / CD107b monoclonal antibody at 1/500 dilution, Lysates at 50 µg per lane, This blot was produced using a 12% SDS-PAGE. The Nitrocellulose membrane was then blocked for an hour before being incubated with orb1973123 overnight at 4°C.

Human acute myeloid leukemia cell line KG1a was fixed, permeabilized, and stained with LAMP2 / CD107b monoclonal antibody orb1973123: 1-50.

Immunofluorescence: cells were fixed with 4% paraformaldehyde for 10 min at RT, permeabilized with 0.1% NP-40 for 10 min at RT then blocked with 5% BSA for 30 min at room temperature. Cells were stained with orb1973123 anti-LAMP2 / CD107b antibody (red) at 1:200 and 4°C. DAPI (blue) was used as the nuclear counter stain.

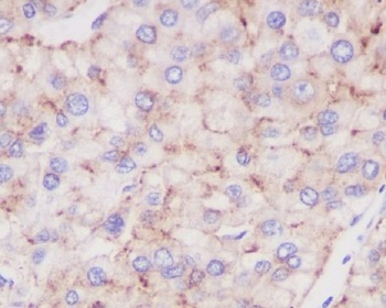
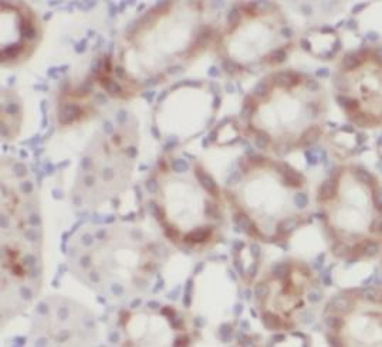
Immunohistochemical analysis of paraffin embedded Human cancer tissue labeling LAMP2 / CD107b with orb1973123 at 1/100.

Immunohistochemical analysis of paraffin embedded mouse tissue labeling LAMP2 / CD107b with orb1973123 at 1/100 RT 1hr. Epitope Retrieval methods: Citrate Buffer, pH 6.0.

Immunohistochemical analysis of paraffin embedded mouse tissue labeling LAMP2 / CD107b with orb1973123 at 1/100 RT 1hr. Epitope Retrieval methods: Citrate Buffer, pH 6.0.
Quick Database Links
Documents Download
Request a Document
Protocol Information
LAMP2 Mouse Monoclonal Antibody (orb1973123)
Participating in our Biorbyt product reviews program enables you to support fellow scientists by sharing your firsthand experience with our products.
Login to Submit a Review







