You have no items in your shopping cart.
LATS1/2 rabbit pAb Antibody
Description
Images & Validation
−| Tested Applications | ELISA, IF, IHC, WB |
|---|---|
| Dilution range | Western Blot: 1/500 - 1/2000. IHC-p: 1:100-300 ELISA: 1/20000. IF 1:100-300 Not yet tested in other applications. |
| Reactivity | Human, Mouse |
Key Properties
−| Clonality | Polyclonal |
|---|---|
| Isotype | IgG |
| Immunogen | The antiserum was produced against synthesized peptide derived from human LATS1/2. AA range:1041-1090 |
| Molecular Weight | 130-140 |
| Purification | The antibody was affinity-purified from rabbit antiserum by affinity-chromatography using epitope-specific immunogen. |
| Conjugation | Unconjugated |
Storage & Handling
−| Storage | Maintain refrigerated at 2-8°C for up to 2 weeks. For long term storage store at -20°C in small aliquots to prevent freeze-thaw cycles. |
|---|---|
| Buffer/Preservatives | PBS with 0.02% sodium azide and 50% glycerol pH 7.4. |
| Concentration | 1 mg/ml |
| Disclaimer | For research use only |
Alternative Names
−Similar Products
−LATS1/2 (phospho Thr1079/1041) rabbit pAb Antibody [orb770836]
ELISA, IF, IHC
Human, Mouse
Polyclonal
Unconjugated
100 μl, 50 μlLATS1/2 Rabbit pAb Antibody [orb771780]
ELISA, IHC, WB
Human, Mouse, Rat
Polyclonal
Unconjugated
100 μl, 50 μlLATS1/2 (Phospho-Thr1079/1041) Rabbit pAb Antibody [orb771756]
ELISA, WB
Human, Mouse, Rat
Polyclonal
Unconjugated
100 μl, 50 μlLATS1/2 (phospho-Ser909) rabbit pAb Antibody [orb2304787]
ELISA, IHC, WB
Human, Mouse, Rat
Polyclonal
Unconjugated
50 μl, 100 μlLATS1/2 (phospho-Ser909) rabbit pAb Antibody [orb1543870]
ELISA, IHC-P, WB
Human, Mouse, Rat
Rabbit
Polyclonal
Unconjugated
100 μl, 50 μl

Quality Guarantee
Explore bioreagents carefree to elevate your research. All our products are rigorously tested for performance. If a product does not perform as described on its datasheet, our scientific support team will provide expert troubleshooting, a prompt replacement, or a refund. For full details, please see our Terms & Conditions and Buying Guide. Contact us at support@biorbyt.com.

Immunofluorescence analysis of A549. 1, primary Antibody (red) was diluted at 1:200 (4°C overnight). 2, Goat Anti Rabbit IgG (H&L) - Alexa Fluor 594 Secondary antibody was diluted at 1:1000 (room temperature, 50min). 3, Picture B: DAPI (blue) 10min.

Western Blot analysis of mouse-mscle cells using LATS1/2 Polyclonal Antibody diluted at 1:500.

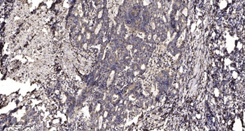
Immunohistochemistry analysis of paraffin-embedded human breast carcinoma tissue, using LATS1/2 Antibody. The picture on the right is blocked with the synthesized peptide.

Western blot analysis of LATS1/2 Antibody.
Documents Download
Request a Document
Protocol Information
LATS1/2 rabbit pAb Antibody (orb765579)
Participating in our Biorbyt product reviews program enables you to support fellow scientists by sharing your firsthand experience with our products.
Login to Submit a Review




