You have no items in your shopping cart.
LCN1 Antibody
Description
Images & Validation
−| Tested Applications | ICC, IHC |
|---|---|
| Dilution Range | IHC: 1/200 - 1/1000; IF/ICC: 1/200 - 1/1000; ELISA: 1/10000 |
| Reactivity | Human |
Key Properties
−| Antibody Type | Primary Antibody |
|---|---|
| Host | Mouse |
| Clonality | Monoclonal |
| Isotype | Mouse IgG1 |
| Clone No. | 10B10B9 |
| Immunogen | Purified recombinant fragment of LCN1 expressed in E. Coli. |
| Target | LCN1 |
| Molecular Weight | 19.2kDa |
| Conjugation | Unconjugated |
Storage & Handling
−| Storage | Maintain refrigerated at 2-8°C for up to 2 weeks. For long term storage store at -20°C in small aliquots to prevent freeze-thaw cycles. |
|---|---|
| Buffer/Preservatives | Ascitic fluid containing 0.03% sodium azide. |
| Concentration | Approximately 1mg/ml (varies from batch to batch). Please inquire for precise concentration. |
| Expiration Date | 12 months from date of receipt. |
| Disclaimer | For research use only |
Alternative Names
−Similar Products
−Lipocalin-1 rabbit pAb Antibody [orb766824]
ELISA, IF, IHC, WB
Human, Mouse, Rat
Polyclonal
Unconjugated
100 μlLCN1 Rabbit Polyclonal Antibody [orb582434]
WB
Mouse, Porcine, Rat
Human
Rabbit
Polyclonal
Unconjugated
100 μlLCN1 Rabbit Polyclonal Antibody [orb412893]
IHC, WB
Human, Mouse, Rat
Rabbit
Polyclonal
Unconjugated
50 μl, 100 μl, 200 μl, 30 μl

Quality Guarantee
Explore bioreagents carefree to elevate your research. All our products are rigorously tested for performance. If a product does not perform as described on its datasheet, our scientific support team will provide expert troubleshooting, a prompt replacement, or a refund. For full details, please see our Terms & Conditions and Buying Guide. Contact us at support@biorbyt.com.

Confocal immunofluorescence analysis of methanol-fixed HEK293 cells trasfected with LCN1-hIgGFc using LCN1 antibody

Western blot analysis of HEK293 (lane1) and LCN1-hIgGFc transfected HEK293 cell lysate (lane2) using LCN1 antibody.

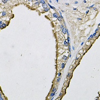
Immunohistochemical analysis of paraffin-embedded human Prostate tissues using LCN1 antibody
Documents Download
Request a Document
Protocol Information
LCN1 Antibody (orb69147)
Participating in our Biorbyt product reviews program enables you to support fellow scientists by sharing your firsthand experience with our products.
Login to Submit a Review








