You have no items in your shopping cart.
LYZ Antibody
Description
Research Area
Images & Validation
−| Tested Applications | IHC |
|---|---|
| Reactivity | Equine, Human |
Key Properties
−| Host | Mouse |
|---|---|
| Clonality | Monoclonal |
| Isotype | IgG1 |
| Clone No. | LYZ/3941 |
| Immunogen | Recombinant fragment of human Lysozyme protein (around aa 1-148) (exact sequence is proprietary) |
| Target | LYZ |
| Source/Expression System | Bioreactor |
| Molecular Weight | 17kDa |
| Purification | Protein G |
| Conjugation | Unconjugated |
Storage & Handling
−| Storage | Maintain refrigerated at 2-8°C for up to 2 weeks. For long term storage store at -20°C in small aliquots to prevent freeze-thaw cycles. |
|---|---|
| Form/Appearance | 200ug/ml of Ab purified from Bioreactor Concentrate by Protein A/G. Prepared in 10mM PBS with0.05% rAlbumin & 0.05% azide. Also available WITHOUT rAlbumin & azide at 1.0mg/ml. |
| Expiration Date | 12 months from date of receipt. |
| Disclaimer | For research use only |
Alternative Names
−Similar Products
−Lysozyme/LYZ Rabbit Polyclonal Antibody [orb315171]
IF, IHC, WB
Human, Mouse, Rat
Rabbit
Polyclonal
Unconjugated
100 μgLYZ Antibody [orb1410099]
IHC, WB
Guinea pig, Hamster, Human, Mouse, Rat
Mouse
Monoclonal
Unconjugated
20 μg, 100 μg, 100 μg (without BSA and Azide)LYZ Antibody [orb1410587]
IHC, WB
Human
Mouse
Monoclonal
Unconjugated
100 μg (without BSA and Azide), 20 μg, 100 μgLysozyme Rabbit Polyclonal Antibody [orb11005]
IF, IHC-Fr, IHC-P, WB
Gallus
Mouse, Rat
Rabbit
Polyclonal
Unconjugated
100 μl, 50 μl, 200 μl

Quality Guarantee
Explore bioreagents carefree to elevate your research. All our products are rigorously tested for performance. If a product does not perform as described on its datasheet, our scientific support team will provide expert troubleshooting, a prompt replacement, or a refund. For full details, please see our Terms & Conditions and Buying Guide. Contact us at support@biorbyt.com.

Analysis of Protein Array containing more than 19000 full-length human proteins using Lysozyme Mouse Monoclonal Antibody (LYZ/3941). Z- and S- Score: The Z-score represents the strength of a signal that a monoclonal antibody (MAb) (in combination with a fluorescently-tagged anti-IgG secondary antibody) produces when binding to a particular protein on the HuProtTM array. Z-scores are described in units of standard deviations (SD's) above the mean value of all signals generated on that array. If targets on HuProtTM are arranged in descending order of the Z-score, the S-score is the difference (also in units of SD's) between the Z-score. S-score therefore represents the relative target specificity of a MAb to its intended target. A MAb is considered to specific to its intended target, if the MAb has an S-score of at least 2.5. For example, if a MAb binds to protein X with a Z-score of 43 and to protein Y with a Z-score of 14, then the S-score for the binding of that MAb to protein X is equal to 29.

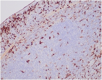
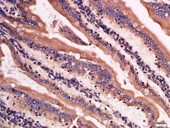
Formalin-fixed, paraffin-embedded horse colon stained with Lysozyme Mouse Monoclonal Antibody (LYZ/3941). Inset: PBS instead of primary antibody; secondary only negative control.

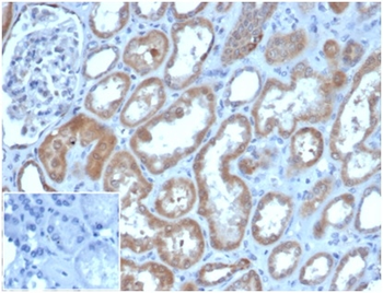
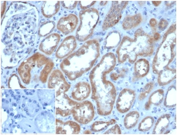
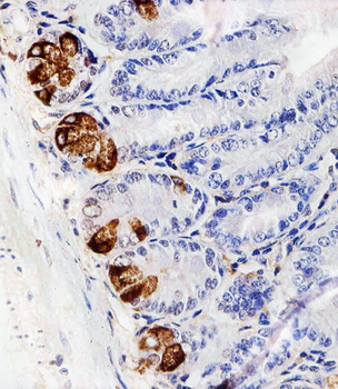
Formalin-fixed, paraffin-embedded human kidney stained with Lysozyme Mouse Monoclonal Antibody (LYZ/3941). Inset: PBS instead of primary antibody; secondary only negative control.

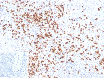
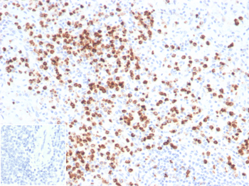
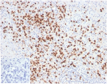
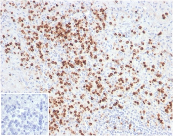
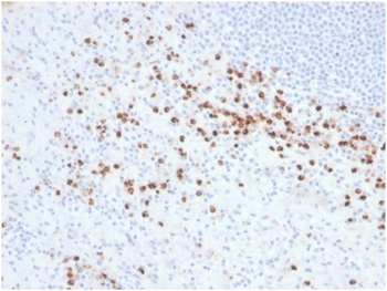
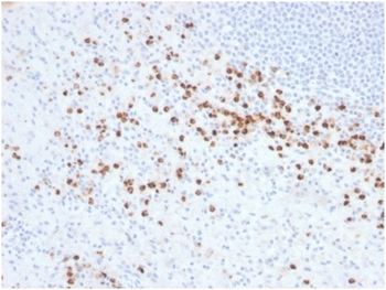
Formalin-fixed, paraffin-embedded human spleen stained with Lysozyme Mouse Monoclonal Antibody (LYZ/3941). Inset: PBS instead of primary antibody; secondary only negative control.

Formalin-fixed, paraffin-embedded human spleen stained with Lysozyme Mouse Monoclonal Antibody (LYZ/3941). HIER: Tris/EDTA, pH9.0, 45 min. 2°C: HRP-polymer, 30 min. DAB, 5 min.

SDS-PAGE Analysis of Purified Lysozyme Mouse Monoclonal Antibody (LYZ/3941). Confirmation of Purity and Integrity of Antibody.

SDS-PAGE Analysis Purified Lysozyme Mouse Monoclonal Antibody (LYZ/3941). Confirmation of Purity and Integrity of Antibody.

SDS-PAGE Analysis Purified Lysozyme Mouse Monoclonal Antibody (LYZ/3941). Confirmation of Purity and Integrity of Antibody.
Quick Database Links
UniProt Details
−Documents Download
Request a Document
LYZ Antibody (orb1410208)
Participating in our Biorbyt product reviews program enables you to support fellow scientists by sharing your firsthand experience with our products.
Login to Submit a Review

























