You have no items in your shopping cart.
MVP Antibody
Description
Research Area
Images & Validation
−| Tested Applications | FC, IF, IHC |
|---|---|
| Dilution Range | FACS: 0.5-1 μg/million cells, IF/ICC: 0.5-1 μg/ml, IHC-P: 0.5-1 μg/ml |
| Reactivity | Human |
| Application Notes |
Key Properties
−| Host | Mouse |
|---|---|
| Clonality | Monoclonal |
| Isotype | IgG1 |
| Clone No. | SPM280 |
| Immunogen | proteins precipitated from human breast cancer MCF-7 cells |
| Target | MVP |
| Source/Expression System | Bioreactor |
| Molecular Weight | 104-110kDa |
| Purification | Protein G |
| Conjugation | Unconjugated |
Storage & Handling
−| Storage | Maintain refrigerated at 2-8°C for up to 2 weeks. For long term storage store at -20°C in small aliquots to prevent freeze-thaw cycles. |
|---|---|
| Form/Appearance | 200ug/ml of Ab Purified from Bioreactor Concentrate by Protein A/G. Prepared in 10mM PBS with 0.05% rAlbumin & 0.05% azide. Also available WITHOUT rAlbumin & azide at 1.0mg/ml. |
| Expiration Date | 12 months from date of receipt. |
| Disclaimer | For research use only |
Alternative Names
−Similar Products
−MVP Mouse Monoclonal Antibody [orb610911]
FC, ICC, IF, IHC, WB
Human, Mouse, Rat
Mouse
Monoclonal
Unconjugated
100 μgMVP Rabbit Polyclonal Antibody [orb413009]
ELISA, FC, ICC, IF, IHC, IHC-Fr, WB
Human, Mouse, Rat
Rabbit
Polyclonal
Unconjugated
100 μg

Quality Guarantee
Explore bioreagents carefree to elevate your research. All our products are rigorously tested for performance. If a product does not perform as described on its datasheet, our scientific support team will provide expert troubleshooting, a prompt replacement, or a refund. For full details, please see our Terms & Conditions and Buying Guide. Contact us at support@biorbyt.com.

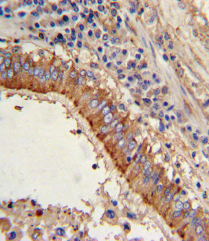
Immunohistochemical staining of human Testicular Carcinoma tissue using MVP antibody
Quick Database Links
UniProt Details
−Documents Download
Request a Document
Protocol Information
MVP Antibody (orb388966)
Participating in our Biorbyt product reviews program enables you to support fellow scientists by sharing your firsthand experience with our products.
Login to Submit a Review




























