You have no items in your shopping cart.
Hsp-16 Antibody
Description
Images & Validation
−| Tested Applications | FC, IF, IHC |
|---|---|
| Reactivity | Human |
| Application Notes |
Key Properties
−| Antibody Type | Primary Antibody |
|---|---|
| Host | Mouse |
| Clonality | Monoclonal |
| Isotype | IgG2a |
| Clone No. | MMLP2-1 |
| Immunogen | A human recombinant protein was used as the immunogen for this MAML2 antibody. |
| Target | Hsp-16 |
| Purification | Protein G affinity chromatography |
| Conjugation | Unconjugated |
Storage & Handling
−| Storage | Maintain refrigerated at 2-8°C for up to 2 weeks. For long term storage store at -20°C in small aliquots to prevent freeze-thaw cycles. |
|---|---|
| Form/Appearance | Liquid |
| Buffer/Preservatives | PBS with 0.1 mg/ml rAlbumin and 0.05% sodium azide |
| Concentration | 0.2 mg/mL |
| Expiration Date | 12 months from date of receipt. |
| Disclaimer | For research use only |

Quality Guarantee
Explore bioreagents carefree to elevate your research. All our products are rigorously tested for performance. If a product does not perform as described on its datasheet, our scientific support team will provide expert troubleshooting, a prompt replacement, or a refund. For full details, please see our Terms & Conditions and Buying Guide. Contact us at support@biorbyt.com.

IHC testing of FFPE human bladder carcinoma with MAML2 antibody (clone MMLP2-1).

IHC testing of FFPE human colon carcinoma with MAML2 antibody (clone MMLP2-1).

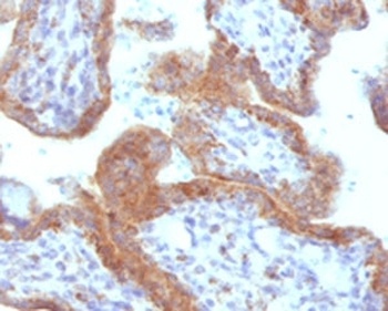
IHC testing of FFPE human placenta with MAML2 antibody (clone MMLP2-1).

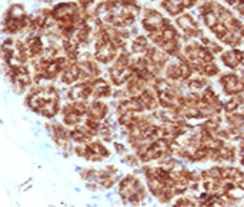
IHC testing of FFPE human pancreas with MAML2 antibody (clone MMLP2-1).
Quick Database Links
UniProt Details
−Documents Download
Request a Document
Protocol Information
Hsp-16 Antibody (orb1251962)
Participating in our Biorbyt product reviews program enables you to support fellow scientists by sharing your firsthand experience with our products.
Login to Submit a Review