You have no items in your shopping cart.
MAP2K3 Antibody
Description
Images & Validation
−| Tested Applications | FC, ICC, IHC |
|---|---|
| Dilution Range | IHC: 1/200 - 1/1000; IF/ICC: 1/200 - 1/1000; FCM: 1/200 - 1/400; ELISA: 1/10000 |
| Reactivity | Human |
Key Properties
−| Antibody Type | Primary Antibody |
|---|---|
| Host | Mouse |
| Clonality | Monoclonal |
| Isotype | Mouse IgG1 |
| Clone No. | 2E12D11 |
| Immunogen | Purified recombinant fragment of human MAP2K3 (AA: 1-138) expressed in E. Coli. |
| Target | Disease |
| Molecular Weight | 39.3kDa |
| Conjugation | Unconjugated |
Storage & Handling
−| Storage | Maintain refrigerated at 2-8°C for up to 2 weeks. For long term storage store at -20°C in small aliquots to prevent freeze-thaw cycles. |
|---|---|
| Buffer/Preservatives | Purified antibody in PBS with 0.05% sodium azide |
| Concentration | Approximately 1mg/ml (varies from batch to batch). Please inquire for precise concentration. |
| Expiration Date | 12 months from date of receipt. |
| Disclaimer | For research use only |
Alternative Names
−Similar Products
−Mouse Map2k3 Antibody (Center) [orb1935806]
WB
Human, Mouse
Rabbit
Polyclonal
Unconjugated
100 μl, 50 μlMEK-3 rabbit pAb Antibody [orb765648]
ELISA, IHC, WB
Human, Mouse, Rat
Polyclonal
Unconjugated
100 μl, 50 μlMEK3/MAP2K3 Rabbit Polyclonal Antibody [orb334495]
FC, ICC, IF, IHC, WB
Human, Mouse, Rat
Rabbit
Polyclonal
Unconjugated
100 μgMAP2K3 Antibody [orb238361]
ELISA, IF, IHC, WB
Human, Mouse
Rabbit
Polyclonal
Unconjugated
50 μg, 100 μgMEK3 Rabbit Polyclonal Antibody [orb11209]
IF, IHC-Fr, IHC-P, WB
Mouse, Rat
Human, Mouse, Rat
Rabbit
Polyclonal
Unconjugated
50 μl, 100 μl, 200 μl

Quality Guarantee
Explore bioreagents carefree to elevate your research. All our products are rigorously tested for performance. If a product does not perform as described on its datasheet, our scientific support team will provide expert troubleshooting, a prompt replacement, or a refund. For full details, please see our Terms & Conditions and Buying Guide. Contact us at support@biorbyt.com.

Immunofluorescence analysis of GC-7901 cells using MAP2K3 antibody

Immunofluorescence analysis of Hela cells using MAP2K3 antibody

Immunofluorescence analysis of HepG2 cells using MAP2K3 antibody

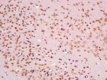
Immunohistochemical analysis of formalin-fixed and paraffin-embedded bladder cancer tissues using MAP2K3 antibody

Immunohistochemical analysis of formalin-fixed and paraffin-embedded rectum cancer tissues using MAP2K3 antibody

Western blot analysis of human recombinant protein using MAP2K3 antibody

Western blot analysis of HEK293 using MAP2K3 antibody

ELISA Black line: Control Antigen (100 ng);Purple line: Antigen (10ng); Blue line: Antigen (50 ng); Red line:Antigen (100 ng)

Flow cytometric analysis of Hela cells using MAP2K3 antibody
Documents Download
Request a Document
Protocol Information
MAP2K3 Antibody (orb333874)
Participating in our Biorbyt product reviews program enables you to support fellow scientists by sharing your firsthand experience with our products.
Login to Submit a Review



















