You have no items in your shopping cart.
MAPRE2/EB2 Antibody
Description
Images & Validation
−| Tested Applications | FC, IF, IHC, IHC-P, WB |
|---|---|
| Dilution range | Flo (1:100), IF (1:100), IHC, IHC-P (20 µg/ml), WB (1:2000) |
| Reactivity | Human |
Key Properties
−| Host | Mouse |
|---|---|
| Clonality | Monoclonal |
| Isotype | IgG2a |
| Clone No. | 1F3 |
| Immunogen | Full length human recombinant protein of human MAPRE2 (NP_055083) produced in HEK293T cell. |
| Target | MAPRE2 / EB2 |
| Purification | Protein A/G purified |
| Conjugation | Unconjugated |
Storage & Handling
−| Storage | Maintain refrigerated at 2-8°C for up to 2 weeks. For long term storage store at -20°C in small aliquots to prevent freeze-thaw cycles. |
|---|---|
| Buffer/Preservatives | PBS, pH 7.3, 0.02% Sodium Azide, 50% Glycerol, 1% rAlbumin |
| Concentration | 1 mg/ml |
| Disclaimer | For research use only |
Alternative Names
−Similar Products
−
Quality Guarantee
Explore bioreagents carefree to elevate your research. All our products are rigorously tested for performance. If a product does not perform as described on its datasheet, our scientific support team will provide expert troubleshooting, a prompt replacement, or a refund. For full details, please see our Terms & Conditions and Buying Guide. Contact us at support@biorbyt.com.

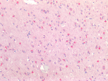
Anti-MAPRE2 / EB2 antibody IHC staining of human brain, cortex. Immunohistochemistry of formalin-fixed, paraffin-embedded tissue after heat-induced antigen retrieval. Antibody concentration 20 ug/ml.

Anti-MAPRE2 mouse monoclonal antibody immunofluorescent staining of COS7 cells transiently transfected by pCMV6-ENTRY MAPRE2.

HEK293T cells were transfected with the pCMV6-ENTRY control (Left lane) or pCMV6-ENTRY MAPRE2 (Right lane) cDNA for 48 hrs and lysed. Equivalent amounts of cell lysates (5 ug per lane) were separated by SDS-PAGE and immunoblotted with anti-MAPRE2.

HEK293T cells transfected with either overexpress plasmid (Red) or empty vector control plasmid (Blue) were immunostained by anti-MAPRE2 antibody, and then analyzed by flow cytometry.
Quick Database Links
Documents Download
Request a Document
Protocol Information
MAPRE2/EB2 Antibody (orb1539484)
Participating in our Biorbyt product reviews program enables you to support fellow scientists by sharing your firsthand experience with our products.
Login to Submit a Review