You have no items in your shopping cart.
LY96 Antibody
Description
Research Area
Images & Validation
−| Tested Applications | ELISA, IF, IHC-P, WB |
|---|---|
| Reactivity | Human, Mouse, Rat |
Key Properties
−| Antibody Type | Primary Antibody |
|---|---|
| Host | Rabbit |
| Clonality | Polyclonal |
| Isotype | IgG |
| Immunogen | Anti-MD-2 antibody (orb1239627) was raised against a peptide corresponding to 13 amino acids near the center of human MD-2. The immunogen is located within the last 50 amino acids of MD-2. |
| Target | LY96 |
| Molecular Weight | Predicted: 19kDObserved: 26 kD (Post-modification: 2 N-linked glycosylations) |
| Purification | MD-2 Antibody is affinity chromatography purified via peptide column. |
| Conjugation | Unconjugated |
Storage & Handling
−| Storage | Maintain refrigerated at 2-8°C for up to 2 weeks. For long term storage store at -20°C in small aliquots to prevent freeze-thaw cycles. |
|---|---|
| Form/Appearance | Liquid |
| Buffer/Preservatives | MD-2 Antibody is supplied in PBS containing 0.02% sodium azide. |
| Concentration | 1 mg/mL |
| Expiration Date | 12 months from date of receipt. |
| Disclaimer | For research use only |
Alternative Names
−Similar Products
−LY96 Antibody [orb1238807]
ELISA, ICC, IF, IHC-P, WB
Human, Mouse, Rat
Mouse
Monoclonal
Unconjugated
0.1 mg, 0.02 mgLY96 Rabbit Polyclonal Antibody [orb628548]
ELISA, IF, IHC, WB
Human, Mouse, Rat
Rabbit
Polyclonal
Unconjugated
50 μg, 100 μg

Quality Guarantee
Explore bioreagents carefree to elevate your research. All our products are rigorously tested for performance. If a product does not perform as described on its datasheet, our scientific support team will provide expert troubleshooting, a prompt replacement, or a refund. For full details, please see our Terms & Conditions and Buying Guide. Contact us at support@biorbyt.com.

Western Blot Validation with Recombinant Protein. Loading: 30 ng of human MD-2 recombinant protein per lane. Antibodies: MD-2, orb1239627 (Lane 1: 0.5 µg/mL, Lane 2: 1 µg/mL and Lane 3: 2 µg/mL), 1h incubation at RT in 5% NFDM/TBST. Secondary: Goat anti-rabbit IgG HRP conjugate at 1:10000 dilution.

Western Blot Validation in Daudi Cell Lysate. Loading: 15 µg of lysates per lane. Antibodies: MD-2, orb1239627 (1 µg/mL), 1h incubation at RT in 5% NFDM/TBST. Secondary: Goat anti-rabbit IgG HRP conjugate at 1:10000 dilution.

Western Blot Validation in Mouse Spleen Tissue Lysate. Loading: 15 µg of lysates per lane. Antibodies: MD-2, orb1239627 (Lane 1: 0.5 µg/mL and Lane 2: 1 µg/mL), 1h incubation at RT in 5% NFDM/TBST. Secondary: Goat anti-rabbit IgG HRP conjugate at 1:10000 dilution.

Western Blot Validation in Mouse Tissue Lysates. Loading: 15 µg of lysates per lane. Antibodies: MD-2, orb1239627 (1 µg/mL), 1h incubation at RT in 5% NFDM/TBST. Secondary: Goat anti-rabbit IgG HRP conjugate at 1:10000 dilution.

Western Blot Validation in Rat Spleen Tissue Lysate. Loading: 15 µg of lysates per lane. Antibodies: MD-2, orb1239627 (Lane 1: 0.5 µg/mL and Lane 2: 1 µg/mL), 1h incubation at RT in 5% NFDM/TBST. Secondary: Goat anti-rabbit IgG HRP conjugate at 1:10000 dilution.

Western Blot Validation in Rat Tissue Lysates. Loading: 15 µg of lysates per lane. Antibodies: MD-2, orb1239627 (1 µg/mL), 1h incubation at RT in 5% NFDM/TBST. Secondary: Goat anti-rabbit IgG HRP conjugate at 1:10000 dilution.

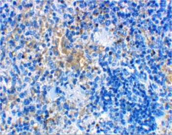
Immunohistochemistry Validation of MD-2 in Human Spleen Tissue. Immunohistochemical analysis of paraffin-embedded human spleen tissue using anti-MD-2 antibody (orb1239627) at 2.5 µg/ml. Tissue was fixed with formaldehyde and blocked with 10% serum for 1 h at RT; antigen retrieval was by heat mediation with a citrate buffer (pH6). Samples were incubated with primary antibody overnight at 4°C. A goat anti-rabbit IgG H&L (HRP) at 1/250 was used as secondary. Counter stained with Hematoxylin.

Immunofluorescence Validation of MD-2 in Human Spleen Tissue. Immunofluorescent analysis of 4% paraformaldehyde-fixed human spleen tissue labeling MD-2 with orb1239627 at 20 µg/mL, followed by goat anti-rabbit IgG secondary antibody at 1/500 dilution (red) and DAPI staining (blue).

Immunohistochemistry Validation of MD-2 in Rat Spleen Tissue. Immunohistochemical analysis of paraffin-embedded rat spleen using anti-MD-2 antibody (orb1239627) at 2 µg/ml. Tissue was fixed with formaldehyde and blocked with 10% serum for 1 h at RT; antigen retrieval was by heat mediation with a citrate buffer (pH6). Samples were incubated with primary antibody overnight at 4°C. A goat anti-rabbit IgG H&L (HRP) at 1/250 was used as secondary. Counter stained with Hematoxylin.

Immunofluorescence Validation of MD-2 in Rat Spleen Tissue. Immunofluorescent analysis of 4% paraformaldehyde-fixed rat spleen tissue labeling MD-2 with orb1239627 at 10 µg/mL, followed by goat anti-rabbit IgG secondary antibody at 1/500 dilution (red).
Documents Download
Request a Document
Protocol Information
LY96 Antibody (orb1239627)
Participating in our Biorbyt product reviews program enables you to support fellow scientists by sharing your firsthand experience with our products.
Login to Submit a Review












