You have no items in your shopping cart.
ME2 Antibody
Description
Research Area
Images & Validation
−| Tested Applications | ELISA, IHC |
|---|---|
| Dilution Range | IHC-P:1:20-200 |
| Reactivity | Human |
Key Properties
−| Host | Rabbit |
|---|---|
| Clonality | Polyclonal |
| Isotype | IgG |
| Immunogen | Recombinant Human NAD-dependent malic enzyme, mitochondrial protein (296-424AA) |
| Target | ME2 |
| Purification | >95%, Protein G purified |
| Conjugation | Unconjugated |
Storage & Handling
−| Storage | Maintain refrigerated at 2-8°C for up to 2 weeks. For long term storage store at -20°C in small aliquots to prevent freeze-thaw cycles. |
|---|---|
| Form/Appearance | Liquid |
| Buffer/Preservatives | Preservative: 0.03% Proclin 300. Constituents: 50% Glycerol |
| Expiration Date | 12 months from date of receipt. |
| Disclaimer | For research use only |
Alternative Names
−Similar Products
−ME2 Rabbit Polyclonal Antibody [orb654345]
ELISA, FC, ICC, IF, IHC, WB
Human, Monkey, Mouse, Rat
Rabbit
Polyclonal
Unconjugated
100 μgCELSR1 Rabbit Polyclonal Antibody [orb182525]
IF, IHC-Fr, IHC-P
Bovine, Gallus, Mouse, Sheep
Human, Rat
Rabbit
Polyclonal
Unconjugated
100 μl, 50 μl, 200 μlHuman Malic Enzyme 2, NADP+ Dependent, Mitochondrial (ME2) ELISA Kit [orb777510]
Human
0.16-10 ng/mL
0.056 ng/mL
96 T, 48 TME2 Rabbit Polyclonal Antibody [orb581155]
WB
Bovine, Canine, Equine, Guinea pig, Mouse, Rabbit, Rat
Human
Rabbit
Polyclonal
Unconjugated
100 μl

Quality Guarantee
Explore bioreagents carefree to elevate your research. All our products are rigorously tested for performance. If a product does not perform as described on its datasheet, our scientific support team will provide expert troubleshooting, a prompt replacement, or a refund. For full details, please see our Terms & Conditions and Buying Guide. Contact us at support@biorbyt.com.

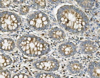
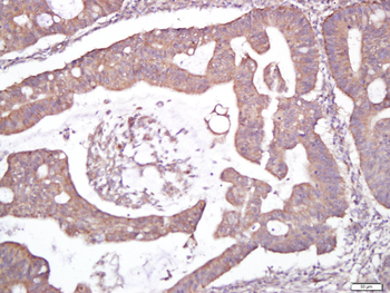
Immunohistochemistry of paraffin-embedded human endometrial cancer tissue using ME2 antibody
Quick Database Links
UniProt Details
−Documents Download
Request a Document
Protocol Information
ME2 Antibody (orb43592)
Participating in our Biorbyt product reviews program enables you to support fellow scientists by sharing your firsthand experience with our products.
Login to Submit a Review


















