You have no items in your shopping cart.
Melatonin Receptor 1A antibody
Description
Images & Validation
−| Tested Applications | ELISA, ICC, IF, IHC-P, WB |
|---|---|
| Dilution range | WB: 2 μg/ml, IHC-P:1:500, IF/ICC: 1:300 |
Key Properties
−| Host | Rabbit |
|---|---|
| Clonality | Polyclonal |
| Isotype | IgG |
| Immunogen | KLH conjugated synthetic peptide derived from human Melatonin Receptor 1A. Please contact us for the exact immunogen sequence. The peptide is available as orb374736. |
| Target | Melatonin Receptor 1A |
| Molecular Weight | 38 kDa |
| Purity | Polyclonal antibodies are purified by peptide affinity chromatography |
| Conjugation | Unconjugated |
Storage & Handling
−| Storage | Maintain refrigerated at 2-8°C for up to 2 weeks. For long term storage store at -20°C in small aliquots to prevent freeze-thaw cycles. |
|---|---|
| Form/Appearance | 10 mM PBS, 0.02% sodium azide |
| Concentration | - 100 μg (in 200 μl): 0.5 mg/ml- 200 μg (in 400 μl): 0.5 mg/ml |
| Disclaimer | For research use only |
Alternative Names
−Similar Products
−MEL-1A-R rabbit pAb Antibody [orb769162]
ELISA, IHC, WB
Human, Mouse, Rat
Polyclonal
Unconjugated
100 μl, 50 μlMTNR1A Rabbit Polyclonal Antibody [orb221456]
WB
Bovine, Canine, Human, Porcine, Sheep
Mouse, Rat
Rabbit
Polyclonal
Unconjugated
50 μl, 100 μl, 200 μlMTNR1A Antibody [orb1100533]
ELISA, IHC, WB
Human, Mouse, Rat
Rabbit
Polyclonal
Unconjugated
100 μg, 50 μgMTNR1A Antibody [orb522759]
ELISA, IHC, WB
Human, Mouse, Rat
Rabbit
Polyclonal
Unconjugated
50 μl, 100 μl

Quality Guarantee
Explore bioreagents carefree to elevate your research. All our products are rigorously tested for performance. If a product does not perform as described on its datasheet, our scientific support team will provide expert troubleshooting, a prompt replacement, or a refund. For full details, please see our Terms & Conditions and Buying Guide. Contact us at support@biorbyt.com.

Immunohistrochemical analysis of formalin fixed and paraffin embedded rat brain tissue(Snr) using ant Melatonin Receptor 1A (primary antibody at 1:300)

IHC-P of mouse hippocampus tissue using Melatonin Receptor 1A antibody (orb11085 at 1:300)

IHC-P of mouse hippocampus tissue (orb11085 at 1:300)

Immunohistochemical staining of paraffin embedded mouse hippocampus tissue using Melatonin Receptor 1A antibody (dilution at 1:500)

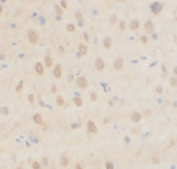
Immunofluorescense analysis of rat brain tissue using Melatonin receptor 1A antibody (dilution of primary antibody at 1:300)

Immunohistochemical staining of rat brain tissue using Melatonin receptor 1A antibody (dilution of primary antibody - 1:500)

IHC-P image of rat brain tissue using anti-Melatonin receptor 1A (dilution of primary antibody at 1:500)

Western blot analysis of Rat brain (lane 1), Mouse brain (lane 2) using Melatonin Receptor antibody (Dilution at 2 ug/ml)

WB analysis of Rat brain tissue using Melatonin Receptor (dilution of primary antibody - 2 ug/ml)

Immunofluorescence image of rat brain tissue using anti-Melatonin receptor 1A (dilution at 1:300)

IHC-P staining of rat brain hippocampus layer tissue using anti-Melatonin receptor 1A (dilution at 1:500)

IF image of rat brain hippocampus layer tissue using anti-Melatonin receptor 1A (primary antibody at 1:300)

Immunohistochemical staining of mouse brain tissue using Melatonin receptor 1A antibody (dilution of primary antibody - 1:300)

Immunofluorescence analysis of rat brain hippocampus layer tissue using Melatonin receptor 1A antibody (dilution of primary antibody - 1:300)
Quick Database Links
Documents Download
Request a Document
Protocol Information
Filter by Applications
Zhang, Yijia et al. A Green and Blue Monochromatic Light Combination Therapy Reduces Oxidative Stress and Enhances B-Lymphocyte Proliferation through Promoting Melatonin Secretion Oxid Med Cell Longev, 2021, 5595376 (2021)
Applications
Wongprayoon, Pawaris et al. Melatonin attenuates methamphetamine-induced neuroinflammation through the melatonin receptor in the SH-SY5Y cell line Neurotoxicology, 50, 122-130 (2015)
Deng, Shou-Long et al. Melatonin reduces oxidative damage and upregulates heat shock protein 90 expression in cryopreserved human semen Free Radic Biol Med, 113, 347-354 (2017)
Mishima, Hiroyuki et al. The Relationship Between the Structure and Calcification of Dentin and the Role of Melatonin Biomineralization, 199-209 (2018)
Melatonin Receptor 1A antibody (orb11085)
Participating in our Biorbyt product reviews program enables you to support fellow scientists by sharing your firsthand experience with our products.
Login to Submit a Review






