You have no items in your shopping cart.
Membrane cofactor protein Antibody
SKU: orb3085905
Description
Research Area
Cancer Biology, Immunology & Inflammation, Stem Cell & Developmental Biology
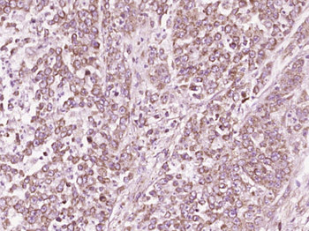
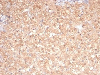
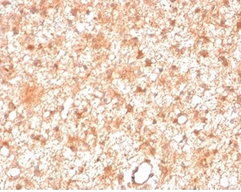
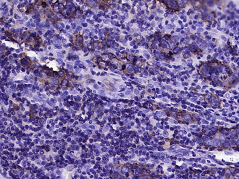
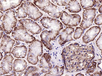
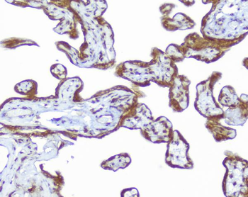
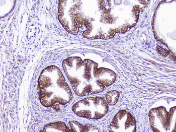
Images & Validation
−
| Tested Applications | IHC, WB |
|---|---|
| Dilution range | Western blot, 0.25-0.5 μg/ml, Human, Mouse, Rat Immunohistochemistry(Paraffin-embedded Section), 2-5 μg/ml, Human |
| Reactivity | Human, Mouse, Rat |
Key Properties
−| Antibody Type | Primary Antibody |
|---|---|
| Host | Mouse |
| Clonality | Monoclonal |
| Isotype | IgG2b |
| Clone No. | 5F3C12 |
| Immunogen | E.coli-derived human Lamin A/C recombinant protein (Position: Y481-Y646). Human Lamin A/C shares 90% and 92% amino acid (aa) sequence identity with mouse and rat Lamin A/C, respectively. |
| Target | Prelamin-A/C [Cleaved into: Lamin-A/C |
| Molecular Weight | 74 kDa |
| Purification | Immunogen affinity purified. |
| Conjugation | Unconjugated |
Storage & Handling
−| Storage | At -20°C for one year from date of receipt. After reconstitution, at 4°C for one month. It can also be aliquotted and stored frozen at -20°C for six months. Avoid repeated freezing and thawing. |
|---|---|
| Form/Appearance | Lyophilized |
| Buffer/Preservatives | Each vial contains 4 mg Trehalose, 0.9 mg NaCl and 0.2 mg Na2HPO4. |
| Concentration | Adding 0.2 ml of distilled water will yield a concentration of 500 μg/ml. |
| Disclaimer | For research use only |
Alternative Names
−70 kDa lamin; CDCD1; CDDC; CMD1A; CMT2B1; EMD2; FPL; FPLD; HGPS; IDC; lamin A; lamin A/C; LDP1; LFP; LGMD1B; LMN1; LMNA; LMNC; Prelamin A/C; PRO1; progerin
Similar Products
−CD46 Rabbit Polyclonal Antibody [orb10329]
FC, IF, IHC-Fr, IHC-P, WB
Mouse
Human, Mouse
Rabbit
Polyclonal
Unconjugated
50 μl, 100 μl, 200 μlCD46 Recombinant Rabbit Monoclonal Antibody [orb704514]
ICC, IF, IHC-Fr, IHC-P, WB
Mouse, Rat
Human
Rabbit
Recombinant
Unconjugated
100 μl, 50 μl

Quality Guarantee
Explore bioreagents carefree to elevate your research. All our products are rigorously tested for performance. If a product does not perform as described on its datasheet, our scientific support team will provide expert troubleshooting, a prompt replacement, or a refund. For full details, please see our Terms & Conditions and Buying Guide. Contact us at support@biorbyt.com.
Quick Database Links
Gene Symbol
Prelamin-A/C [Cleaved into: Lamin-A/C
UniProt
UniProt Details
− No UniProt data available
Documents Download
Datasheet
Product Information
Request a Document
Protocol Information
WB
Western Blot (IB, immunoblot)
IHC
Immunohistochemistry
Membrane cofactor protein Antibody (orb3085905)
Based on 0 reviews
Participating in our Biorbyt product reviews program enables you to support fellow scientists by sharing your firsthand experience with our products.
Login to Submit a Review


















