You have no items in your shopping cart.
MEN1 Antibody
Description
Images & Validation
−| Tested Applications | FC, IHC |
|---|---|
| Dilution Range | IHC: 1/200 - 1/1000; FCM: 1/200 - 1/400; ELISA: 1/10000 |
| Reactivity | Human |
Key Properties
−| Antibody Type | Primary Antibody |
|---|---|
| Host | Mouse |
| Clonality | Monoclonal |
| Isotype | Mouse IgG1 |
| Clone No. | 7D3E10 |
| Immunogen | Purified recombinant fragment of human MEN1 (AA: 392-554) expressed in E. Coli. |
| Target | Disease |
| Molecular Weight | 68kDa |
| Conjugation | Unconjugated |
Storage & Handling
−| Storage | Maintain refrigerated at 2-8°C for up to 2 weeks. For long term storage store at -20°C in small aliquots to prevent freeze-thaw cycles. |
|---|---|
| Buffer/Preservatives | Purified antibody in PBS with 0.05% sodium azide. |
| Concentration | Approximately 1mg/ml (varies from batch to batch). Please inquire for precise concentration. |
| Expiration Date | 12 months from date of receipt. |
| Disclaimer | For research use only |
Alternative Names
−Similar Products
−splicing factor 1 Mouse Monoclonal Antibody [orb865657]
FC, ICC, IF, IHC, WB
Human, Mouse, Rat
Mouse
Monoclonal
Unconjugated
100 μgsplicing factor 1 Mouse Monoclonal Antibody [orb865656]
FC, ICC, IF, IHC, WB
Human, Mouse, Rat
Mouse
Monoclonal
Unconjugated
100 μgsplicing factor 1/SF1 Rabbit Polyclonal Antibody [orb402223]
ELISA, FC, ICC, IF, IHC, WB
Human, Mouse, Rat
Rabbit
Polyclonal
Unconjugated
100 μgSF1 Recombinant Rabbit Monoclonal Antibody [orb1172521]
FC, ICC, IF, IHC-Fr, IHC-P, WB
Human, Mouse, Rat
Human, Mouse, Rat
Rabbit
Recombinant
Unconjugated
25 μl, 100 μl, 50 μlMenin/MEN1 Rabbit Polyclonal Antibody [orb623872]
ELISA, IHC, WB
Human, Mouse, Rat
Rabbit
Polyclonal
Unconjugated
100 μg

Quality Guarantee
Explore bioreagents carefree to elevate your research. All our products are rigorously tested for performance. If a product does not perform as described on its datasheet, our scientific support team will provide expert troubleshooting, a prompt replacement, or a refund. For full details, please see our Terms & Conditions and Buying Guide. Contact us at support@biorbyt.com.

Line graph illustrates about the Ag-Ab reactions using different concentrations of antigen and serial dilutions of MEN1 antibody

Flow cytometric analysis of Hela cells lysates using MEN1 antibody

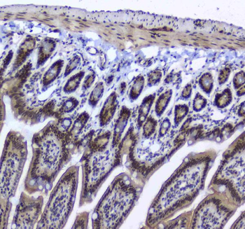
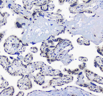
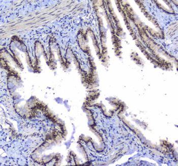
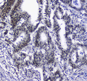
Immunohistochemical analysis of formalin-fixed and paraffin-embedded rectum cancer tissues using MEN1 antibody

Western blot analysis of human MEN1 using MEN1 antibody

Western blot analysis of HEK293 (Lane 1) HEK293 (Lane 2) cell lysate using MEN1 antibody
Documents Download
Request a Document
Protocol Information
MEN1 Antibody (orb197824)
Participating in our Biorbyt product reviews program enables you to support fellow scientists by sharing your firsthand experience with our products.
Login to Submit a Review















































