You have no items in your shopping cart.
MK rabbit pAb Antibody
Description
Images & Validation
−| Tested Applications | ELISA, IF, IHC, WB |
|---|---|
| Dilution range | Western Blot: 1/500 - 1/2000. IHC-p: 1:100-300 ELISA: 1/20000. Not yet tested in other applications. |
| Reactivity | Human, Rat |
Key Properties
−| Clonality | Polyclonal |
|---|---|
| Isotype | IgG |
| Immunogen | The antiserum was produced against synthesized peptide derived from the Internal region of human MDK. AA range:94-143 |
| Molecular Weight | 18 |
| Purification | The antibody was affinity-purified from rabbit antiserum by affinity-chromatography using epitope-specific immunogen. |
| Conjugation | Unconjugated |
Storage & Handling
−| Storage | Maintain refrigerated at 2-8°C for up to 2 weeks. For long term storage store at -20°C in small aliquots to prevent freeze-thaw cycles. |
|---|---|
| Buffer/Preservatives | PBS with 0.02% sodium azide and 50% glycerol pH 7.4. |
| Concentration | 1 mg/ml |
| Disclaimer | For research use only |
Alternative Names
−Similar Products
−MVK rabbit pAb Antibody [orb765745]
ELISA, IF, IHC, WB
Human, Monkey
Polyclonal
Unconjugated
100 μl, 50 μlPRAK (phospho Thr182) rabbit pAb Antibody [orb770692]
ELISA, IF, IHC, WB
Human, Mouse
Polyclonal
Unconjugated
100 μl, 50 μl3pK rabbit pAb Antibody [orb764422]
ELISA, IF, IHC, WB
Human, Mouse, Rat
Polyclonal
Unconjugated
100 μl, 50 μlMAPKAPK-2 (phospho Thr334) rabbit pAb Antibody [orb770878]
ELISA, IF, IHC, WB
Human, Mouse, Rat
Polyclonal
Unconjugated
50 μl, 100 μlMAPKAPK-2 (phospho Thr222) rabbit pAb Antibody [orb770879]
ELISA, IF, IHC, WB
Human, Monkey, Mouse, Rat
Polyclonal
Unconjugated
100 μl, 50 μl

Quality Guarantee
Explore bioreagents carefree to elevate your research. All our products are rigorously tested for performance. If a product does not perform as described on its datasheet, our scientific support team will provide expert troubleshooting, a prompt replacement, or a refund. For full details, please see our Terms & Conditions and Buying Guide. Contact us at support@biorbyt.com.

Western Blot analysis of SW480, MCF7, PC-3, Raji, K562, mouse eye, mouse kidney cells using MK Polyclonal Antibody. Secondary antibody was diluted at 1:20000.

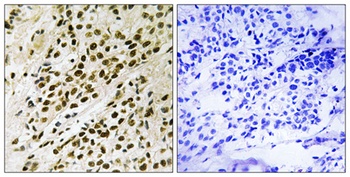
Immunohistochemical analysis of paraffin-embedded human-brain, antibody was diluted at 1:100.

Immunohistochemical analysis of paraffin-embedded rat-brain, antibody was diluted at 1:100.

Immunohistochemical analysis of paraffin-embedded rat-brain, antibody was diluted at 1:100.
Documents Download
Request a Document
Protocol Information
MK rabbit pAb Antibody (orb766782)
Participating in our Biorbyt product reviews program enables you to support fellow scientists by sharing your firsthand experience with our products.
Login to Submit a Review













