You have no items in your shopping cart.
MSN Antibody
Description
Research Area
Images & Validation
−| Tested Applications | FC, IF, IHC, WB |
|---|---|
| Dilution Range | FACS: 0.5-1 μg/million cells, IF/ICC: 0.5-1 μg/ml, WB: 0.5-1 μg/ml, IHC-P: 0.5-1 μg/ml |
| Reactivity | Human, Rat |
| Application Notes |
Key Properties
−| Host | Mouse |
|---|---|
| Clonality | Monoclonal |
| Isotype | IgG1 |
| Clone No. | MSN/491 |
| Immunogen | Recombinant full-length human Moesin protein |
| Target | MSN |
| Source/Expression System | Bioreactor |
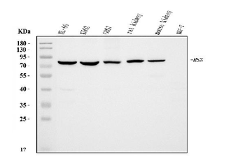
| Molecular Weight | 78kDa |
| Purification | Protein G |
| Conjugation | Unconjugated |
Storage & Handling
−| Storage | Maintain refrigerated at 2-8°C for up to 2 weeks. For long term storage store at -20°C in small aliquots to prevent freeze-thaw cycles. |
|---|---|
| Form/Appearance | 200ug/ml of Ab Purified from Bioreactor Concentrate by Protein A/G. Prepared in 10mM PBS with 0.05% rAlbumin & 0.05% azide. Also available WITHOUT rAlbumin & azide at 1.0mg/ml. |
| Expiration Date | 12 months from date of receipt. |
| Disclaimer | For research use only |
Alternative Names
−Similar Products
−Moesin/MSN Mouse Monoclonal Antibody [orb865589]
FC, ICC, IF, IHC, WB
Human, Monkey, Mouse, Rat
Mouse
Monoclonal
Unconjugated
100 μgMoesin/MSN Rabbit Polyclonal Antibody [orb570397]
ELISA, FC, ICC, IF, IHC, WB
Human, Mouse, Rat
Rabbit
Polyclonal
Unconjugated
100 μg

Quality Guarantee
Explore bioreagents carefree to elevate your research. All our products are rigorously tested for performance. If a product does not perform as described on its datasheet, our scientific support team will provide expert troubleshooting, a prompt replacement, or a refund. For full details, please see our Terms & Conditions and Buying Guide. Contact us at support@biorbyt.com.

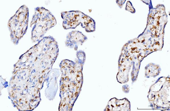
Immunohistochemical staining of human Placenta tissue using MSN antibody

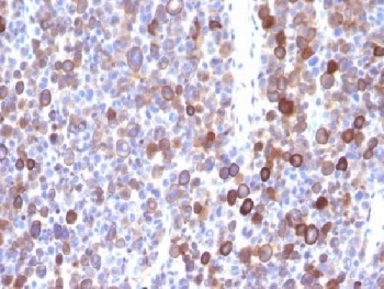
Immunohistochemical staining of human Melanoma tissue using MSN antibody

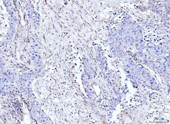
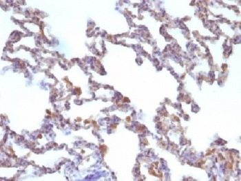
Immunohistochemical staining of rat Lung tissue using MSN antibody

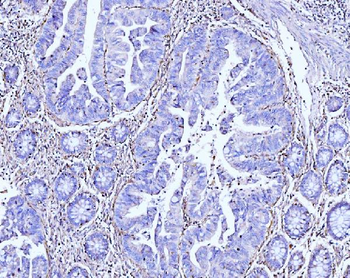
Immunohistochemical staining of rat colon tissue using MSN antibody

Western blot analysis of HT29 Cell Lysate using MSN antibody
Quick Database Links
UniProt Details
−Documents Download
Request a Document
Protocol Information
MSN Antibody (orb388445)
Participating in our Biorbyt product reviews program enables you to support fellow scientists by sharing your firsthand experience with our products.
Login to Submit a Review























