You have no items in your shopping cart.
Mouse Human Matrix Metalloproteinase 2 (MMP2) Antibody
Description
Research Area
Images & Validation
−| Tested Applications | ELISA, IHC, WB |
|---|---|
| Reactivity | Human |
| Application Notes |
Key Properties
−| Antibody Type | Primary Antibody |
|---|---|
| Host | Mouse |
| Clonality | Monoclonal |
| Isotype | IgG1 |
| Clone No. | 4D3 |
| Immunogen | Hybridoma produced by the fusion of splenocytes from BALB/c mice immunized with a synthetic peptide derived from the C-terminus of the human MMP2 protein and mouse myeloma Ag8563 cells. |
| Purification | Protein A/G Chromatography |
| Conjugation | Unconjugated |
Storage & Handling
−| Storage | Maintain refrigerated at 2-8°C for up to 2 weeks. For long term storage store at -20°C in small aliquots to prevent freeze-thaw cycles. |
|---|---|
| Form/Appearance | Provided as solution in phosphate buffered saline with 0.08% sodium azide |
| Concentration | See vial for concentration |
| Expiration Date | 12 months from date of receipt. |
| Disclaimer | For research use only |
Alternative Names
−Similar Products
−MMP2 Mouse Monoclonal Antibody [orb1474042]
IF, IHC, WB
Human
Mouse
Monoclonal
Unconjugated
200 μl, 100 μl, 50 μl, 30 μlMMP2 Rabbit Monoclonal Antibody [orb547212]
IHC, WB
Human, Mouse, Rat
Rabbit
Monoclonal
Unconjugated
100 μlMMP2 Mouse Monoclonal Antibody [orb1474304]
IF, WB
Human, Mouse
Mouse
Monoclonal
Unconjugated
200 μl, 100 μl, 30 μl, 50 μlMMP2 Mouse Monoclonal Antibody [orb2959355]
ELISA, IF
Human
Mouse
Monoclonal
Unconjugated
1 mg, 50 μg, 100 μgMMP2 Mouse Monoclonal Antibody [orb2959356]
ELISA, FC, IP
Human
Mouse
Monoclonal
Unconjugated
1 mg, 50 μg, 100 μg

Quality Guarantee
Explore bioreagents carefree to elevate your research. All our products are rigorously tested for performance. If a product does not perform as described on its datasheet, our scientific support team will provide expert troubleshooting, a prompt replacement, or a refund. For full details, please see our Terms & Conditions and Buying Guide. Contact us at support@biorbyt.com.

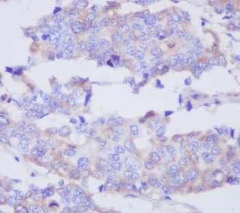
Immunohistochemical staining of human oesophageal adenocarcinoma tissue using MMP2 antibody

Western blot analysis of recombinant MMP-2 proenzyme using MMP2 antibody
Quick Database Links
UniProt Details
−Documents Download
Request a Document
Protocol Information
Mouse Human Matrix Metalloproteinase 2 (MMP2) Antibody (orb109157)
Participating in our Biorbyt product reviews program enables you to support fellow scientists by sharing your firsthand experience with our products.
Login to Submit a Review






