You have no items in your shopping cart.
Mouse Human Matrix Metalloproteinase 3 (MMP3) Antibody
SKU: orb109158
Description
Research Area
Cell Biology
Images & Validation
−Item 1 of 2
| Tested Applications | ELISA, IHC, WB |
|---|---|
| Reactivity | Human |
| Application Notes |
Key Properties
−| Antibody Type | Primary Antibody |
|---|---|
| Host | Mouse |
| Clonality | Monoclonal |
| Isotype | IgG1 |
| Clone No. | 1B4 |
| Immunogen | Hybridoma produced by the fusion of splenocytes from BALB/c mice immunized with a synthetic peptide derived from the C-terminus of the human MMP3 protein and mouse myeloma Ag8563 cells. |
| Purification | Protein A/G Chromatography |
| Conjugation | Unconjugated |
Storage & Handling
−| Storage | Maintain refrigerated at 2-8°C for up to 2 weeks. For long term storage store at -20°C in small aliquots to prevent freeze-thaw cycles. |
|---|---|
| Form/Appearance | Provided as solution in phosphate buffered saline with 0.08% sodium azide |
| Concentration | See vial for concentration |
| Disclaimer | For research use only |
Alternative Names
−SL-1, Matrix metalloproteinase-3, MMP-3, Transin-1
Similar Products
−MMP3 Rabbit Monoclonal Antibody [orb547482]
ICC, IF, IHC, WB
Human, Mouse, Rat
Rabbit
Monoclonal
Unconjugated
100 μl

Quality Guarantee
Explore bioreagents carefree to elevate your research. All our products are rigorously tested for performance. If a product does not perform as described on its datasheet, our scientific support team will provide expert troubleshooting, a prompt replacement, or a refund. For full details, please see our Terms & Conditions and Buying Guide. Contact us at support@biorbyt.com.

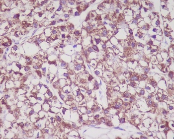
Immunohistochemical staining of human gastric carcinoma tissue using MMP3 antibody

Western blot analysis of recombinant human MMP-3 proenzyme using MMP3 antibody
Quick Database Links
UniProt
UniProt Details
− No UniProt data available
Documents Download
Datasheet
Product Information
Request a Document
Protocol Information
WB
Western Blot (IB, immunoblot)
IHC
Immunohistochemistry
ELISA
Enzyme-linked Immunosorbent Assay (EIA)
Mouse Human Matrix Metalloproteinase 3 (MMP3) Antibody (orb109158)
Based on 0 reviews
Participating in our Biorbyt product reviews program enables you to support fellow scientists by sharing your firsthand experience with our products.
Login to Submit a Review


