You have no items in your shopping cart.
Mouse Smoothelin Antibody
Description
Research Area
Images & Validation
−| Tested Applications | ICC, IHC-Fr, IHC-P, WB |
|---|---|
| Reactivity | Canine, Feline, Gallus, Human, Monkey, Porcine |
Key Properties
−| Antibody Type | Primary Antibody |
|---|---|
| Host | Mouse |
| Clonality | Monoclonal |
| Isotype | IgG1 |
| Clone No. | R4A |
| Conjugation | Unconjugated |
Storage & Handling
−| Storage | Maintain refrigerated at 2-8°C for up to 2 weeks. For long term storage store at -20°C in small aliquots to prevent freeze-thaw cycles. |
|---|---|
| Expiration Date | 12 months from date of receipt. |
| Disclaimer | For research use only |
Similar Products
−SMTN Rabbit Polyclonal Antibody [orb1939904]
ELISA, ICC, IF, IHC, WB
Human, Mouse, Rat
Rabbit
Polyclonal
Unconjugated
100 μgSMTN Rabbit Polyclonal Antibody (Biotin) [orb2583460]
ELISA, IHC, WB
Human, Mouse, Rat
Rabbit
Polyclonal
Biotin
100 μg

Quality Guarantee
Explore bioreagents carefree to elevate your research. All our products are rigorously tested for performance. If a product does not perform as described on its datasheet, our scientific support team will provide expert troubleshooting, a prompt replacement, or a refund. For full details, please see our Terms & Conditions and Buying Guide. Contact us at support@biorbyt.com.

Immunohistochemistry of R4A on frozen section of chicken gizzard striated muscle.

Immunohistochemistry of R4A on frozen section of chicken gizzard striated muscle.

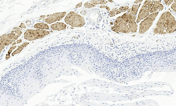
Immunohistochemistry of R4A on paraffin section of human smooth muscle.

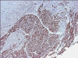
Smooth muscle cells in swine colon as detected by orb98440 (R4A; dilution 1:100).

Smooth muscle cells in swine colon as detected by orb98440 (R4A; dilution 1:100).

Smooth muscle cells in swine colon as detected by orb98440 (R4A; dilution 1:100).

Indirect immunofluorescence staining of a cultured human fibroblast, showing colocalization of smoothelin (red fluorescence; as detected by orb98440, R4A) and actin (green fluorescence).

Immunoblotting results with orb98440 (R4A) on uterine artery and uterine corpus.
Quick Database Links
UniProt Details
−Documents Download
Request a Document
Protocol Information
Mouse Smoothelin Antibody (orb98440)
Participating in our Biorbyt product reviews program enables you to support fellow scientists by sharing your firsthand experience with our products.
Login to Submit a Review


