You have no items in your shopping cart.
mouse Splunc2 Antibody
Description
Images & Validation
−| Tested Applications | FC, ICC, IHC |
|---|---|
| Dilution Range | IHC: 1/200 - 1/1000; IF/ICC: 1/200 - 1/1000; FCM: 1/200 - 1/400; ELISA: 1/10000 |
| Reactivity | Human |
Key Properties
−| Antibody Type | Primary Antibody |
|---|---|
| Host | Mouse |
| Clonality | Monoclonal |
| Isotype | Mouse IgG1 |
| Clone No. | 1F12D11 |
| Immunogen | Purified recombinant fragment of mouse Splunc2 expressed in E. Coli. |
| Target | mouse Splunc2 |
| Conjugation | Unconjugated |
Storage & Handling
−| Storage | Maintain refrigerated at 2-8°C for up to 2 weeks. For long term storage store at -20°C in small aliquots to prevent freeze-thaw cycles. |
|---|---|
| Buffer/Preservatives | Purified antibody in PBS with 0.05% sodium azide |
| Concentration | Approximately 1mg/ml (varies from batch to batch). Please inquire for precise concentration. |
| Expiration Date | 12 months from date of receipt. |
| Disclaimer | For research use only |
Similar Products
−
Quality Guarantee
Explore bioreagents carefree to elevate your research. All our products are rigorously tested for performance. If a product does not perform as described on its datasheet, our scientific support team will provide expert troubleshooting, a prompt replacement, or a refund. For full details, please see our Terms & Conditions and Buying Guide. Contact us at support@biorbyt.com.

Confocal immunofluorescence analysis of HepG2 cells using Splunc2 antibody

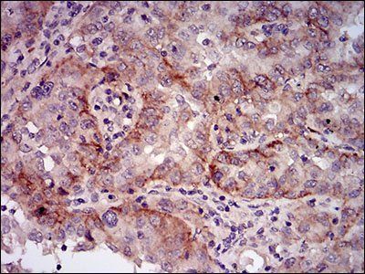
Immunohistochemical analysis of formalin fixed and paraffin-embedded prostate tissues using Splunc2 antibody

Line graph illustrates about the Ag-Ab reactions using different concentrations of antigen and serial dilutions of Splunc2 antibody

Western blot analysis of mouse (AA: 16-169) recombinant protein using Splunc2 antibody

Flow cytometric analysis of HeLa cells using Splunc2 antibody

Confocal immunofluorescence analysis of HepG2 cells using Splunc2 antibody

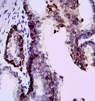
IHC-P of kidney tissues using Splunc2 antibody
Documents Download
Request a Document
Protocol Information
mouse Splunc2 Antibody (orb97464)
Participating in our Biorbyt product reviews program enables you to support fellow scientists by sharing your firsthand experience with our products.
Login to Submit a Review


















