You have no items in your shopping cart.
Recombinant MPO Antibody / Myeloperoxidase
Description
Images & Validation
−| Tested Applications | IHC-P, WB |
|---|---|
| Dilution Range | Immunohistochemistry (FFPE): 1-2ug/ml,Western blot: 1-2ug/ml |
| Reactivity | Human |
| Application Notes |
Key Properties
−| Antibody Type | Primary Antibody |
|---|---|
| Host | Mouse |
| Clonality | Recombinant |
| Isotype | Mouse IgG1, kappa |
| Clone No. | rMPO/6904 |
| Immunogen | A portion of amino acids 150-250 was used as the immunogen for the recombinant MPO antibody. |
| Purification | Protein A/G affinity |
| Conjugation | Unconjugated |
Storage & Handling
−| Storage | Maintain refrigerated at 2-8°C for up to 2 weeks. For long term storage store at -20°C in small aliquots to prevent freeze-thaw cycles. |
|---|---|
| Buffer/Preservatives | 1 mg/ml in 1X PBS; rAlbumin free, sodium azide free |
| Expiration Date | 12 months from date of receipt. |
| Disclaimer | For research use only |
Similar Products
−Recombinant MPO Antibody / Myeloperoxidase [orb1151514]
IHC-P, WB
Human
Mouse
Recombinant
Unconjugated
100 μg, 20 μg

Quality Guarantee
Explore bioreagents carefree to elevate your research. All our products are rigorously tested for performance. If a product does not perform as described on its datasheet, our scientific support team will provide expert troubleshooting, a prompt replacement, or a refund. For full details, please see our Terms & Conditions and Buying Guide. Contact us at support@biorbyt.com.

SDS-PAGE analysis of purified, BSA-free MPO antibody (clone rMPO/6904) as confirmation of integrity and purity.

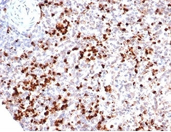
IHC staining of FFPE human bone marrow with recombinant MPO antibody (clone rMPO/6904). HIER: boil tissue sections in pH9 10mM Tris with 1mM EDTA for 20 min and allow to cool before testing.

IHC staining of FFPE human tonsil tissue with recombinant MPO antibody (clone rMPO/6904). HIER: boil tissue sections in pH9 10mM Tris with 1mM EDTA for 20 min and allow to cool before testing.

IHC staining of FFPE human spleen tissue with recombinant MPO antibody (clone rMPO/6904). HIER: boil tissue sections in pH9 10mM Tris with 1mM EDTA for 20 min and allow to cool before testing.

Western blot testing of human spleen tissue lysate using recombinant MPO antibody (clone rMPO/6904). Expected molecular weight: 75-90 kDa (pro form).
Quick Database Links
UniProt Details
−Documents Download
Request a Document
Protocol Information
Recombinant MPO Antibody / Myeloperoxidase (orb2636658)
Participating in our Biorbyt product reviews program enables you to support fellow scientists by sharing your firsthand experience with our products.
Login to Submit a Review



